missing translation for 'onlineSavingsMsg'
Learn More

MRP1 Rabbit Polyclonal Antibody, Proteintech

Rabbit Polyclonal Antibody

Brand:  Proteintech 27825-1-AP-150UL

 View more versions of this product

Product Code. 30235378

  • ONLINE EXCLUSIVE PRICE
    410.00€
    349.00€ / 150µL
    Save 61.00€
    14% Off

Please to purchase this item. Need a web account? Register with us today!

This item is not returnable. View return policy

Description

Description

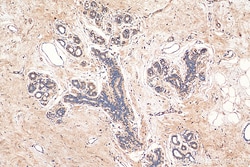
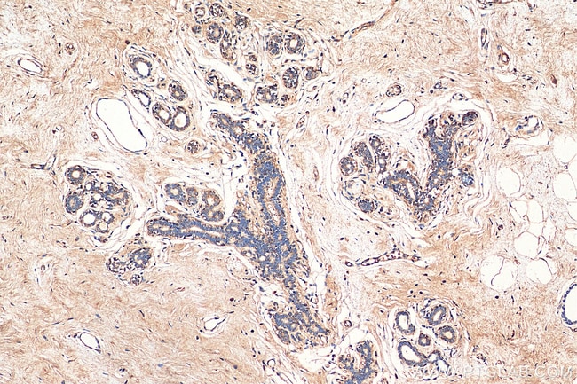
The MRP1 antibody from Proteintech is a rabbit polyclonal antibody generated with recombinant protein of human MRP1. This antibody recognizes human antigen. The MRP1 antibody has been validated for the following applications: WB, IHC, ELISA analysis.
Specifications

Specifications

MRP1
Polyclonal
Unconjugated
Recombinant Protein
150 μL
Primary
Human
180-190 kDa
Liquid
Western Blot, Immunohistochemistry, ELISA
600 μg/mL
Rabbit
Antigen affinity purification
RUO
4363
Store at -20°C. Stable for one year after shipment.
Polyclonal Antibody
IgG
Product Suggestions

Product Suggestions

Videos
SDS
Documents

Documents

Certificates
Promotions

Promotions

Product Content Correction

Your input is important to us. Please complete this form to provide feedback related to the content on this product.

Product Title

By clicking Submit, you acknowledge that you may be contacted by Fisher Scientific in regards to the feedback you have provided in this form. We will not share your information for any other purposes. All contact information provided shall also be maintained in accordance with our Privacy Policy.

Thank You! Your feedback has been submitted. Fisher Scientific is always working to improve our content for you. We appreciate your feedback.