Learn More
Invitrogen™ Ataxin 1 Monoclonal Antibody (2F5)

Mouse Monoclonal Antibody
Brand: Invitrogen™ MA515735
Description
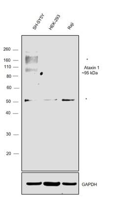
MA5-15735 targets ATXN1 in indirect ELISA, FACS, IF, IHC, and WB applications and shows reactivity with Human samples. The MA5-15735 immunogen is purified recombinant fragment of human ATXN1 expressed in E. Coli. MA5-15735 detects ATXN1 which has a predicted molecular weight of approximately 87kDa.
The autosomal dominant cerebellar ataxias (ADCA) are a heterogeneous group of neurodegenerative disorders characterized by progressive degeneration of the cerebellum, brain stem and spinal cord. Clinically, ADCA has been divided into three groups: ADCA types I-III. ADCAI is genetically heterogeneous, with five genetic loci, designated spinocerebellar ataxia (SCA) 1, 2, 3, 4 and 6, being assigned to five different chromosomes. ADCAII, which always presents with retinal degeneration (SCA7), and ADCAIII often referred to as the 'pure' cerebellar syndrome (SCA5), are most likely homogeneous disorders. Several SCA genes have been cloned and shown to contain CAG repeats in their coding regions. ADCA is caused by the expansion of the CAG repeats, producing an elongated polyglutamine tract in the corresponding protein. The expanded repeats are variable in size and unstable, usually increasing in size when transmitted to successive generations. The function of the ataxins is not known. This locus has been mapped to chromosome 6, and it has been determined that the diseased allele contains 41-81 CAG repeats, compared to 6-39 in the normal allele, and is associated with spinocerebellar ataxia type 1 (SCA1). At least two transcript variants encoding the same protein have been found for this gene.
Specifications
| Ataxin 1 | |
| Monoclonal | |
| Conc. Not Determined | |
| ascites with 0.03% sodium azide | |
| P54253, P54254, Q63540 | |
| ATXN1 | |
| Purified recombinant fragment of human ATXN1 expressed in E. Coli. | |
| RUO | |
| 20238, 25049, 6310 | |
| Store at 4°C short term. For long term storage, store at -20°C, avoiding freeze/thaw cycles. | |
| Liquid |
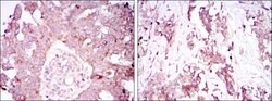
| ELISA, Flow Cytometry, Immunohistochemistry (Paraffin), Western Blot, Immunocytochemistry | |
| 2F5 | |
| Unconjugated | |
| ATXN1 | |
| 2900016G23Rik; alternative ataxin1; ataxin 1; Ataxin1; ataxin-1; Atx1; Atx-1; Atx-1-PB; Atxn1; C85907; CG4547; CG4547-PB; D6S504E; dAtx-1; Dmel\CG4547; Dmel_CG4547; ENSMUSG00000074917; Gm10786; OTTHUMP00000016065; SCA1; spinocerebellar ataxia 1; spinocerebellar ataxia 1 homolog; spinocerebellar ataxia type 1 protein; Spinocerebellar ataxia type 1 protein homolog | |
| Mouse | |
| 100 μL | |
| Primary | |
| Human, Mouse, Rat | |
| Antibody | |
| IgG1 |
Your input is important to us. Please complete this form to provide feedback related to the content on this product.