missing translation for 'onlineSavingsMsg'
Learn More
Learn More
Invitrogen™ CCR7 Recombinant Rabbit Monoclonal Antibody (HL3075)

Rabbit Recombinant Monoclonal Antibody
Brand: Invitrogen™ MA556633
This item is not returnable.
View return policy
Description
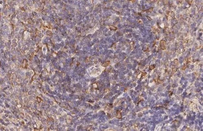
CCR7 Recombinant Monoclonal Antibody for IHC (P)
CCR7 is a member of the G-protein-coupled chemokine receptor family with seven membrane-spanning domains and functions as a receptor for 6Ckine/SLC (secondary lymphoid-tissue chemokine), CCL19 and CCL21. CCR7 has been shown to be internalized via clathrin-coated pits and the majority recycled back to the plasma membrane. CCR7 is expressed on T cells and can be used to distinguish populations of naive from central and effector memory T cells. CCR7 has been shown to play a role in migration of memory T cells to inflamed tissue. Expression of CCR7 is also found on DC's. During DC maturation CCR7 expression increases and is thought to be involved in a variety of functions: chemotaxis to the lymph node, cellular architecture, rate of endocytosis, survival and maturation.
Specifications
| CCR7 | |
| Recombinant Monoclonal | |
| 1 mg/mL | |
| PBS with no preservative | |
| BLR2; Bukitt's lymphoma receptor 2; CC chemokine receptor 7; C-C chemokine receptor type 7; C-C CKR-7; C-C motif chemokine receptor 7; CC-CKR-7; CCR7; CCR-7; CD197; CDw197; chemokine (C-C motif) receptor 7; chemokine (C-C) receptor 7; Cmkbr7; EBI1; Ebi1h; EBV-induced G protein-coupled receptor 1; EBV-induced G-protein coupled receptor 1; Epstein-Barr virus induced gene 1; Epstein-Barr virus-induced G-protein coupled receptor 1; EVI1; lymphocyte-specific G protein-coupled peptide receptor; MIP-3 beta receptor | |
| Rabbit | |
| Protein A | |
| RUO | |
| 287673 | |
| -20°C, Avoid Freeze/Thaw Cycles | |
| Liquid |
| Immunohistochemistry (Paraffin) | |
| HL3075 | |
| Unconjugated | |
| Ccr7 | |
| Ccr7 | |
| Synthetic peptide encompassing a sequence within the Extracellular domain of human CCR7. The exact sequence is proprietary. | |
| 100 μL | |
| Primary | |
| Rat | |
| Antibody | |
| IgG |
Product Content Correction
Your input is important to us. Please complete this form to provide feedback related to the content on this product.
Product Title
Spot an opportunity for improvement?Share a Content Correction