missing translation for 'onlineSavingsMsg'
Learn More

CD11b Antibody (CL1719) - Azide and BSA Free, Novus Biologicals™

Mouse Monoclonal Antibody

Brand:  Novus Biologicals NBP3-43784

463.54 EUR valid until 2025-12-16
BEST PRICE on Promo! Use promo code "24090" to get your promotional price.


Product Code. 30291973

  • 561.00€ / 100µL
Define Immunology Research on Your Terms With R&D Systems
Use promo code 24090
View all promotions

Please to purchase this item. Need a web account? Register with us today!

This item is not returnable. View return policy

Description

Description

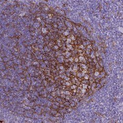
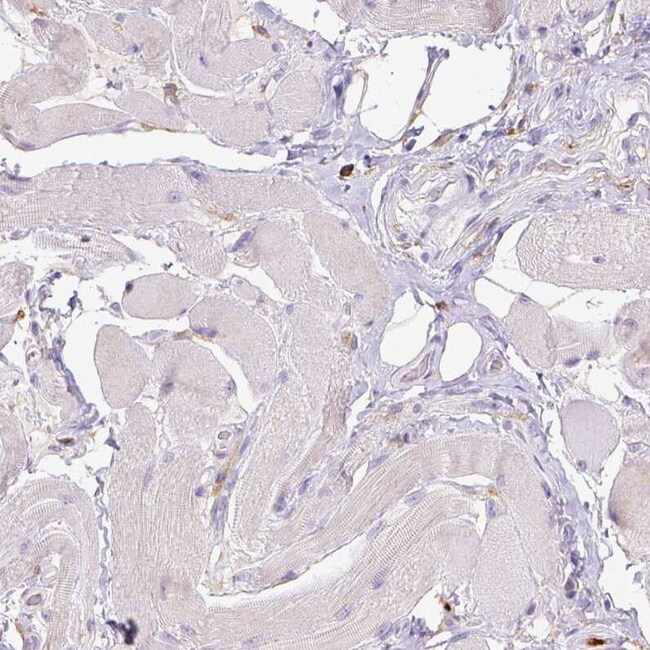
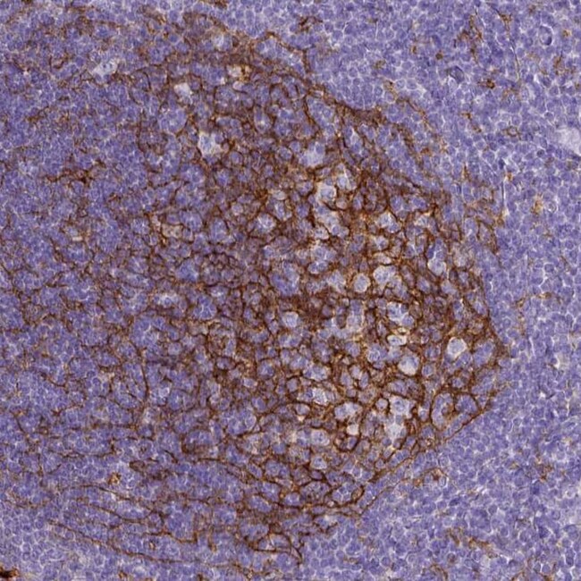
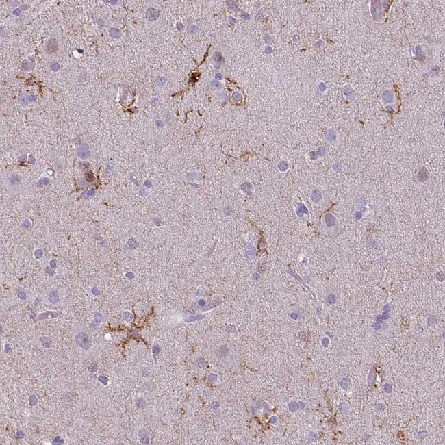
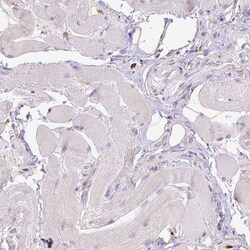
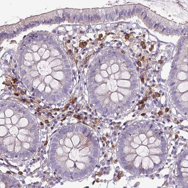
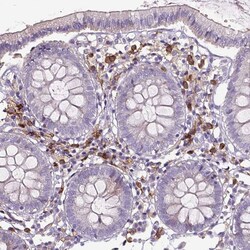
CD11b Monoclonal antibody specifically detects CD11b in Human samples. It is validated for Western Blot,Immunohistochemistry (Paraffin),Immunohistochemistry
TRUSTED_SUSTAINABILITY
Specifications

Specifications

CD11b
Monoclonal
LYOPH
Western Blot 1 μg/mL, Immunohistochemistry-Paraffin 1:1000 - 1:2500
antigen CD11b (p170), CD11 antigen-like family member B, CD11b, CD11b antigen, Cell surface glycoprotein MAC-1 subunit alpha, Complement component 3 receptor 3 subunit, CR-3 alpha chain, CR3A, CR3AMGC117044, integrin alpha-M, integrin, alpha M (complement component 3 receptor 3 subunit), Leukocyte adhesion receptor MO1, MAC-1, MAC1A, macrophage antigen alpha polypeptide, MO1A, Neutrophil adherence receptor, neutrophil adherence receptor alpha-M subunit, SLEB6
This antibody was generated using a recombinant protein sequence of P11215, with the exact immunogen sequence remaining proprietary.
100 μL
Breast Cancer, Cancer, Cell Biology, Cellular Markers, Glia Markers, Hematopoietic Stem Cell Markers, Immunology, Innate Immunity, Microglia Markers, Myeloid Cell Markers, Neuroscience, Signal Transduction, Stem Cell Markers
3684
Human
Purified
Western Blot, Immunohistochemistry (Paraffin), Immunohistochemistry
CL1719
Unconjugated
Lyophilized in 5% Trehalose.
Mouse
Protein A purified
RUO
Primary
Centrifuge the vial of lyophilized antibody at 12,000 x g for 20 seconds. Reconstitute by adding sterile, distilled water to achieve a final antibody concentration of 1mg/mL.
Store at 4⪚C short term. Aliquot and store at -20⪚C long term. Avoid freeze-thaw cycles.
IgG1
Product Suggestions

Product Suggestions

Videos
SDS
Documents

Documents

Certificates
Promotions

Promotions

Product Content Correction

Your input is important to us. Please complete this form to provide feedback related to the content on this product.

Product Title

By clicking Submit, you acknowledge that you may be contacted by Fisher Scientific in regards to the feedback you have provided in this form. We will not share your information for any other purposes. All contact information provided shall also be maintained in accordance with our Privacy Policy.

Thank You! Your feedback has been submitted. Fisher Scientific is always working to improve our content for you. We appreciate your feedback.