missing translation for 'onlineSavingsMsg'
Learn More
Learn More
Invitrogen™ CDK4 Monoclonal Antibody (5-C3-G3)

Mouse Monoclonal Antibody
Brand: Invitrogen™ MA542575
This item is not returnable.
View return policy
Description
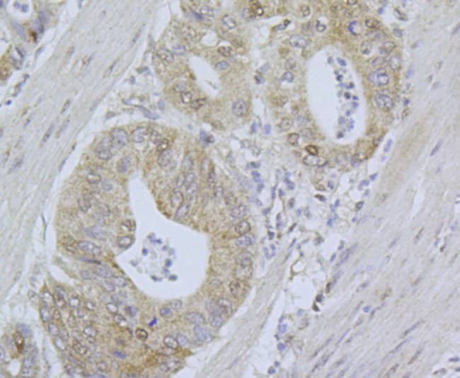
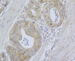
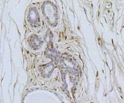
Positive Control: Hela, human breast tissue, human stomach cancer tissue. Subcellular Location: Cytoplasm. Nucleus. Membrane.
CDK4/cyclin D3 serine/threonine kinase is dimeric protein complex. CDK4 is a member of the cyclin-dependent protein kinase family and is involved in the control of cell proliferation during the G1 phase of cell cycle. CDK4 forms a complex with the D-type cyclins and is inhibited by p16 (cyclin-dependent kinase inhibitor-2). CDK4 can mediate phosphorylation of the C-terminal region of Rb protein leading to an active transcriptional repression of E2F complex. CDC37 and HSP90 can preferentially associate with the fraction of CDK4 not bound to D-type cyclins. SMAD3 is a major physiologic substrate of the G1 cyclin-dependent kinases CDK4 and CDK2. Although CDK6 and CDK4 can both phosphorylate multiple residues in the Rb protein, they do so with different residue selectivity in vitro; CDK6 phosphorylates Thr821 while CDK4 phosphorylates Thr826 on Rb protein.
Specifications
| CDK4 | |
| Monoclonal | |
| 2 mg/mL | |
| PBS with 0.2% BSA, 40% glycerol and 0.05% sodium azide; pH 7.4 | |
| P11802 | |
| Cdk4 | |
| Recombinant protein within human cdk4 aa 80-303. | |
| 100 μL | |
| Primary | |
| Human | |
| Antibody | |
| IgG2c |
| Immunohistochemistry (Paraffin), Western Blot, Immunocytochemistry | |
| 5-C3-G3 | |
| Unconjugated | |
| Cdk4 | |
| Cdk4; Cell division protein kinase 4; CMM3; Crk3; cyclin dependent kinase 4; cyclin-dependent kinase 4; MGC14458; p34>PSK-J3>/cdk4; PSK-J3; serine/threonine kinase; Unknown (protein for MGC:133903) | |
| Mouse | |
| Protein A | |
| RUO | |
| 1019 | |
| Store at 4°C short term. For long term storage, store at -20°C, avoiding freeze/thaw cycles. | |
| Liquid |
Product Content Correction
Your input is important to us. Please complete this form to provide feedback related to the content on this product.
Product Title
Spot an opportunity for improvement?Share a Content Correction