missing translation for 'onlineSavingsMsg'
Learn More

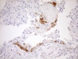
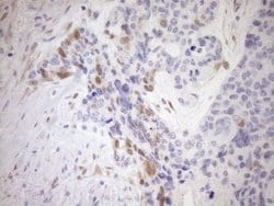
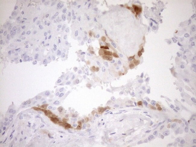
CDKN2A Monoclonal Antibody (OTI5G9), TrueMAB™, OriGene

Mouse Monoclonal Antibody

Brand:  Origene Technologies TA805405

Encompass_Preferred

 View more versions of this product

Product Code. 17555333

  • 540.87€ / 100µL

Please to purchase this item. Need a web account? Register with us today!

This item is not returnable. View return policy

Description

Description

In humans, the multiple tumor suppressor 1 locus (MTS1) encodes two unrelated genes, p16INK4a and p19ARF. Although both act as cell proliferation inhibitors, their mechanisms of action are different. p19ARF works as part of a p53-dependent pathway to counter uncontrolled proliferation and oncogenic signals. Mice lacking the p19ARF gene rapidly develop a broad spectrum of tumors. This result indicates that p19ARF is an important tumor suppressor. In addition, p19ARF helps prevent transforming signals from various onocoproteins via the p53 regulatory loop. These studies and others display the importance of p19ARF in cell cycle control and tumor suppression.
Specifications

Specifications

CDKN2A
Monoclonal
1 mg/mL
PBS with 1% BSA, 50% glycerol and 0.02% sodium azide
Q8N726
CDKN2A
Full length human recombit protein of human CDKN2A produced in E.coli.
100 μL
Primary
Human
Antibody
IgG1
Immunohistochemistry (Paraffin)
OTI5G9
Unconjugated
CDKN2A
ARF, CDK4I, CDKN2, CMM2, INK4, INK4A, MLM, MTS-1, MTS1, P14, P14ARF, P16, P16-INK4A, P16INK4, P16INK4A, P19, P19ARF, TP16
Mouse
Affinity Chromatography
RUO
1029
-20° C, Avoid Freeze/Thaw Cycles
Liquid
Product Suggestions

Product Suggestions

Videos
SDS
Documents

Documents

Certificates
Promotions

Promotions

Product Content Correction

The Fisher Scientific Encompass Program offers items which are not part of our distribution portfolio. These products typically do not have pictures or detailed descriptions. However, we are committed to improving your shopping experience. Please use the form below to provide feedback related to the content on this product.

Product Title

By clicking Submit, you acknowledge that you may be contacted by Fisher Scientific in regards to the feedback you have provided in this form. We will not share your information for any other purposes. All contact information provided shall also be maintained in accordance with our Privacy Policy.

Thank You! Your feedback has been submitted. Fisher Scientific is always working to improve our content for you. We appreciate your feedback.