missing translation for 'onlineSavingsMsg'
Learn More
Learn More
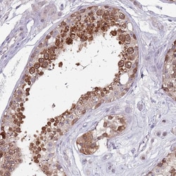
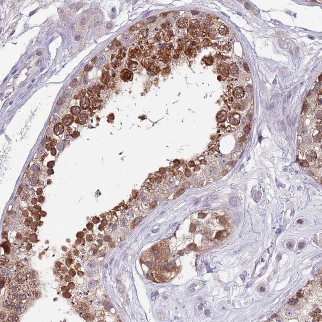
Invitrogen™ CLNS1A Polyclonal Antibody

Rabbit Polyclonal Antibody
Brand: Invitrogen™ PA556906
This item is not returnable.
View return policy
Description
Immunogen sequence: SFLKSFPPPG PAEGLLRQQP DTEAVLNGKG LGTGTLYIAE SRLSWLDGSG LGFSLEYPTI SLHALSRDRS DCLGEHLYVM VNAKFEEESK EPVADEE Highest antigen sequence identity to the following orthologs: Mouse - 84%, Rat - 84%.
Putative Polycomb group (PcG) protein. PcG proteins act by forming multiprotein complexes, which are required to maintain the transcriptionally repressive state of homeotic genes throughout development. PcG proteins are not required to initiate repression, but to maintain it during later stages of development. They probably act via methylation of histones, rendering chromatin heritably changed in its expressibility. Involved in transcriptional regulation mediated by ligand-bound nuclear hormone receptors, such as peroxisome proliferator-activated receptor gamma (PPARG). Acts as coactivator for PPARG and enhances its adipocyte differentiation-inducing activity; the function seems to involve differential recruitment of acetylated and methylated histone H3.
Specifications
| CLNS1A | |
| Polyclonal | |
| Unconjugated | |
| CLNS1A | |
| 2610036D06Rik; 2610100O04Rik; ARPC1A; chloride channel; chloride channel current inducer; chloride channel regulator; chloride channel regulatory protein; chloride channel, nucleotide sensitive 1A; chloride channel, nucleotide-sensitive, 1A; chloride conductance regulatory protein ICln; Chloride ion current inducer protein; chloride nucleotide-sensitive channel 1A; ClCI; Clcni; Clns 1a; CLNS1A; CLNS1B; I(Cln); icln; icln protein; methylosome subunit pICln; pIcIn; pICln; Rcl1; Reticulocyte pICln; reticulocyte protein ICln; SOP2L; SOP2-like protein; swelling dependent chloride channel; swelling-induced chloride conductance regulatory protein; swelling-induced chloride conductance regulatory protein pIcIn | |
| Rabbit | |
| Antigen affinity chromatography | |
| RUO | |
| 1207 | |
| Store at 4°C short term. For long term storage, store at -20°C, avoiding freeze/thaw cycles. | |
| Liquid |
| Immunohistochemistry (Paraffin), Western Blot, Immunocytochemistry | |
| 0.2 mg/mL | |
| PBS with 40% glycerol and 0.02% sodium azide; pH 7.2 | |
| P54105 | |
| CLNS1A | |
| Recombinant protein corresponding to Human CLNS1A. Recombinant protein control fragment (Product #RP-95782). | |
| 100 μL | |
| Primary | |
| Human | |
| Antibody | |
| IgG |
Product Content Correction
Your input is important to us. Please complete this form to provide feedback related to the content on this product.
Product Title
Spot an opportunity for improvement?Share a Content Correction