missing translation for 'onlineSavingsMsg'
Learn More

EIF4E Mouse anti-Human, Mouse, Rat, Clone: 3C6B9, Proteintech

Mouse Monoclonal Antibody

Brand:  Proteintech 66655-1-IG-150UL

 View more versions of this product

Product Code. 16858735

  • 410.00€ / 150µL

Please to purchase this item. Need a web account? Register with us today!

This item is not returnable. View return policy

Description

Description

eIF4E is involved in several cellular processes including enhanced translational efficiency, splicing, mRNA stability, and RNA nuclear export. All eukaryotic cellular mRNAs are blocked at their 5-prime ends with the 7-methylguanosine cap structure, m7GpppX (where X is any nucleotide). EIF4E is a eukaryotic translation initiation factor involved in directing ribosomes to the cap structure of mRNAs. It is a 24-kD polypeptide that exists as both a free form and as part of a multiprotein complex termed EIF4F. The EIF4E polypeptide is the rate-limiting component of the eukaryotic translation apparatus and is involved in the mRNA-ribosome binding step of eukaryotic protein synthesis. The other subunits of EIF4F are a 50-kD polypeptide, termed EIF4A, that possesses ATPase and RNA helicase activities, and a 220-kD polypeptide, EIF4G.
Specifications

Specifications

EIF4E
Monoclonal
1 mg/mL
PBS with 50% glycerol and 0.1% sodium azide; pH 7.3
P06730, P63073, P63074
EIF4E
EIF4E Fusion Protein Ag27191
150 μL
Primary
Human, Mouse, Rat
Antibody
IgG1
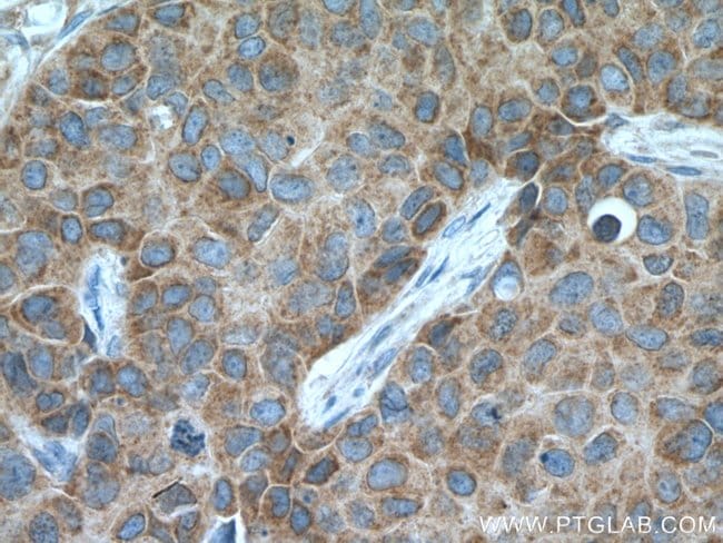
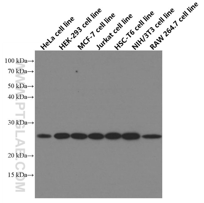
Immunocytochemistry, Immunofluorescence, Immunohistochemistry (Paraffin), Western Blot
3C6B9
Unconjugated
EIF4E
CBP, eIF 4E, eIF 4F 25 kDa subunit, EIF4E, EIF4E1, EIF4EL1, EIF4F, mRNA cap binding protein
Mouse
Protein G
RUO
117045, 13684, 1977
-20°C
Liquid
Product Suggestions

Product Suggestions

Videos
SDS
Documents

Documents

Certificates
Promotions

Promotions

Product Content Correction

Your input is important to us. Please complete this form to provide feedback related to the content on this product.

Product Title

By clicking Submit, you acknowledge that you may be contacted by Fisher Scientific in regards to the feedback you have provided in this form. We will not share your information for any other purposes. All contact information provided shall also be maintained in accordance with our Privacy Policy.

Thank You! Your feedback has been submitted. Fisher Scientific is always working to improve our content for you. We appreciate your feedback.