missing translation for 'onlineSavingsMsg'
Learn More

ERK2 Antibody (4C11) - BSA Free, Novus Biologicals™

Mouse Monoclonal Antibody

Brand:  Novus Biologicals NB110-60506-0.025ml

 View more versions of this product

Product Code. 18598750

  • 168.00€ / 25µL

Please to purchase this item. Need a web account? Register with us today!

This item is not returnable. View return policy

Description

Description

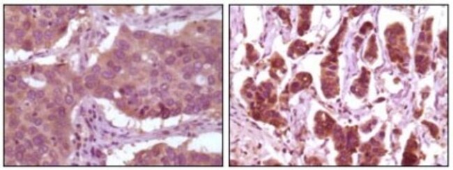
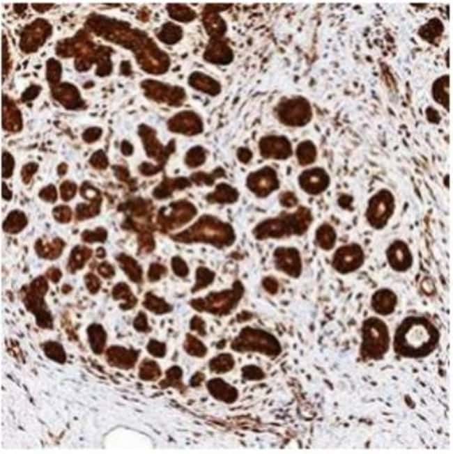
ERK2 Monoclonal specifically detects ERK2 in Human, Mouse, Monkey samples. It is validated for Western Blot, ELISA, Immunohistochemistry, Immunocytochemistry/Immunofluorescence, Immunohistochemistry-Paraffin.
TRUSTED_SUSTAINABILITY
Specifications

Specifications

ERK2
Monoclonal
1 mg/mL
Western Blot 1:500 - 1:2000, ELISA 1:10000, Immunohistochemistry 1:10-1:500, Immunocytochemistry/Immunofluorescence 1:200 - 1:1000, Immunohistochemistry-Paraffin 1:200-1:1000
MAPK1
Ni-NTA purified full length recombinant ERK2 expressed in E. Coli strain BL21 (DE3)
Protein A purified
RUO
Primary
ERK2 (4C11C11C4)
Store at 4°C short term. Aliquot and store at -20°C long term. Avoid freeze/thaw cycles.
IgG2a
Western Blot
4C11
Unconjugated
EC 2.7.11, EC 2.7.11.24, ERK, ERK-2, ERK2MAP kinase isoform p42, ERT1, Extracellular signal-regulated kinase 2, MAP kinase 1, MAP kinase 2, MAPK 1, MAPK2, mitogen-activated protein kinase 1, Mitogen-activated protein kinase 2, p38, p40, p41, p41mapk, p42-MAPK, P42MAPK, PRKM1MAPK 2, PRKM2, protein tyrosine kinase ERK2
Mouse
41 kDa
0.025 mL
Angiogenesis, Apoptosis, Breast Cancer, Cancer, Diabetes Research, Hypoxia, Signal Transduction, Tumor Suppressors
5594
Human
Purified
Product Suggestions

Product Suggestions

Videos
SDS
Documents

Documents

Certificates
Promotions

Promotions

Product Content Correction

Your input is important to us. Please complete this form to provide feedback related to the content on this product.

Product Title

By clicking Submit, you acknowledge that you may be contacted by Fisher Scientific in regards to the feedback you have provided in this form. We will not share your information for any other purposes. All contact information provided shall also be maintained in accordance with our Privacy Policy.

Thank You! Your feedback has been submitted. Fisher Scientific is always working to improve our content for you. We appreciate your feedback.

For Research Use Only