Learn More
Invitrogen™ FAM3B Polyclonal Antibody

Rabbit Polyclonal Antibody
Brand: Invitrogen™ PA588050
Description
Immunogen sequence: ELIPDAPLSS AAYSIRSIGE RPVLKAPVPK RQKCDHWTPC PSDTYAYRLL SGGGRSKYAK ICFEDNLLMG EQLGNVARGI NIAIVNYVTG NVTATRCFDM YEGDNSGPMT KFIQSAAPKS LLFMVTYDDG STRLNNDAKN AIEALGSKEI RNMKFRSSWV FIAAKGLELP SEIQREKINH SDAKNNRYSG WPAEIQIEGC IPKERS.
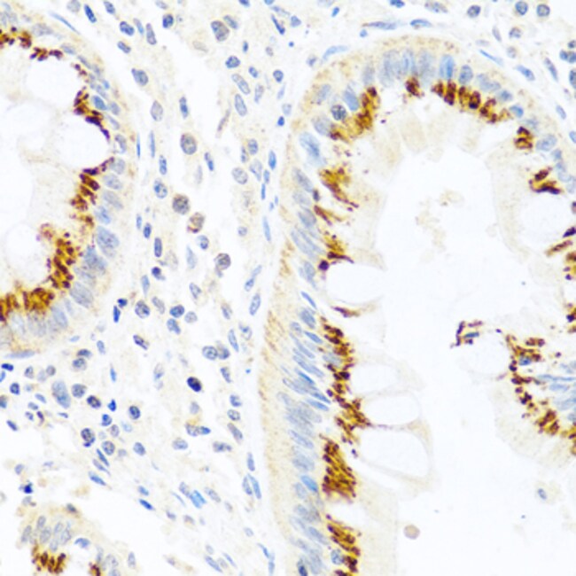
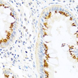
FAM3B (family with sequence similarity 3, member B), also known as ORF9, C21orf11 or PANDER, is a 235 amino acid secreted protein that localizes to discrete vesicular and perinuclear structures. Expressed at high levels in pancreas and at lower levels in kidney, colon, testis, prostate and small intestine, FAM3B functions as an islet-specific cytokine that promotes apoptosis and may inhibit Insulin secretion from beta-cells, possibly playing a role in overall pancreatic activity. Human FAM3B shares 78% sequence identity with its mouse counterpart, suggesting a conserved role between species. Three isoforms of FAM3B, designated A, B and C, exist due to alternative splicing events.
Specifications
| FAM3B | |
| Polyclonal | |
| Unconjugated | |
| FAM3B | |
| 21-Feb; 2-21; 9030624C24Rik; C21orf11; C21orf76; cytokine-like protein 2-21; D16Jhu19e; D21M16SJHU19e; FAM3 metabolism regulating signaling molecule B; Fam3b; family with sequence similarity 3 member B; family with sequence similarity 3, member B; ORF9; pancreatic derived factor; pancreatic-derived factor; PANDER; PRED44; Protein FAM3B; RGD1311662; UNQ320/PRO365 | |
| Rabbit | |
| Affinity Chromatography | |
| RUO | |
| 304050, 52793, 54097 | |
| -20°C, Avoid Freeze/Thaw Cycles | |
| Liquid |
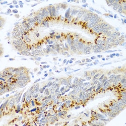
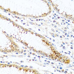
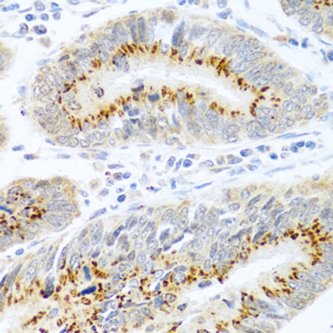
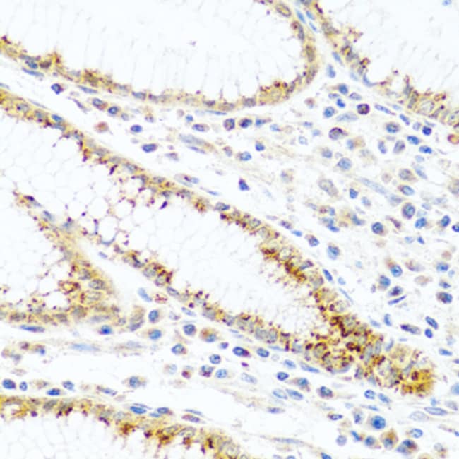
| ELISA, Immunohistochemistry (Paraffin), Western Blot, Immunocytochemistry | |
| 0.78 mg/mL | |
| PBS with 50% glycerol and 0.02% sodium azide; pH 7.3 | |
| P58499, Q9D309 | |
| FAM3B | |
| Recombinant protein (or fragment). | |
| 100 μL | |
| Primary | |
| Human, Mouse, Rat | |
| Antibody | |
| IgG |
Your input is important to us. Please complete this form to provide feedback related to the content on this product.