missing translation for 'onlineSavingsMsg'
Learn More
Learn More
Invitrogen™ Hemoglobin alpha-1 Polyclonal Antibody

Rabbit Polyclonal Antibody
Brand: Invitrogen™ PA560507
This item is not returnable.
View return policy
Description
Immunogen sequence: MVLSPADKTN VKAAWGKVGA HAGEYGAEAL ERMFLSF Highest antigen sequence identity to the following orthologs: Mouse - 76%, Rat - 70%.
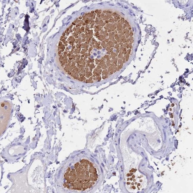
The human alpha globin gene cluster located on chromosome 16 spans about 30 kb and includes seven loci: 5'- zeta - pseudozeta - mu - pseudoalpha-1 - alpha-2 - alpha-1 - theta - 3'. The alpha-2 (HBA2) and alpha-1 (HBA1) coding sequences are identical. These genes differ slightly over the 5' untranslated regions and the introns, but they differ significantly over the 3' untranslated regions. Two alpha chains plus two beta chains constitute HbA, which in normal adult life comprises about 97% of the total hemoglobin; alpha chains combine with delta chains to constitute HbA-2, which with HbF (fetal hemoglobin) makes up the remaining 3% of adult hemoglobin. Alpha thalassemias result from deletions of each of the alpha genes as well as deletions of both HBA2 and HBA1; some nondeletion alpha thalassemias have also been reported.
Specifications
| Hemoglobin alpha-1 | |
| Polyclonal | |
| Unconjugated | |
| HBA1 | |
| alpha one globin; alpha-2 globin chain; Alpha-globin; delta globin; HBA1; HBA2; HBA-T3; HBH; hemoglobin alpha 1 globin chain; Hemoglobin alpha chain; Hemoglobin subunit alpha; hemoglobin subunit alpha 1; hemoglobin, alpha 1 | |
| Rabbit | |
| Antigen affinity chromatography | |
| RUO | |
| 3039 | |
| Store at 4°C short term. For long term storage, store at -20°C, avoiding freeze/thaw cycles. | |
| Liquid |
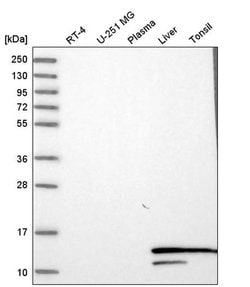
| Immunohistochemistry (Paraffin), Western Blot | |
| 0.10 mg/mL | |
| PBS with 40% glycerol and 0.02% sodium azide; pH 7.2 | |
| P69905 | |
| HBA1 | |
| Recombinant protein corresponding to Human Hemoglobin. Recombinant protein control fragment (Product #RP-104362). | |
| 100 μL | |
| Primary | |
| Human | |
| Antibody | |
| IgG |
Product Content Correction
Your input is important to us. Please complete this form to provide feedback related to the content on this product.
Product Title
Spot an opportunity for improvement?Share a Content Correction