missing translation for 'onlineSavingsMsg'
Learn More
Learn More
Human VEGF-C Antibody, R&D Systems™

Goat Polyclonal Antibody has been used in 13 publications
Brand: R&D Systems AF752-SP
This item is not returnable.
View return policy
Description
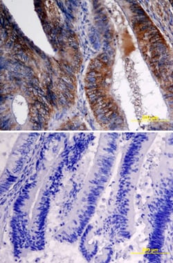
VEGF-C Polyclonal specifically detects VEGF-C in Human samples. It is validated for Western Blot, ELISA, Immunohistochemistry.
Specifications
| VEGF-C | |
| Polyclonal | |
| Unconjugated | |
| Lyophilized from a 0.2 μm filtered solution in PBS with Trehalose. *Small pack size (SP) is supplied as a 0.2 μm filtered solution in PBS. with No Preservative | |
| VEGFC | |
| E. coli-derived recombinant human VEGF-C | |
| 25 μg | |
| Primary | |
| Detects human VEGF-C in direct ELISAs and Western blots. | |
| Human | |
| IgG |
| Western Blot, ELISA, Immunohistochemistry | |
| LYOPH | |
| Western Blot 1 ug/mL, ELISA, Immunohistochemistry 5-15 ug/mL | |
| Flt4 ligand, Flt4-L, vascular endothelial growth factor C, Vascular endothelial growth factor-related protein, VEGFC, VEGF-C, VRPFLT4 ligand DHM | |
| Goat | |
| Affinity Purified | |
| RUO | |
| 7424 | |
| Reconstitute at 0.2 mg/mL in sterile PBS. | |
| Use a manual defrost freezer and avoid repeated freeze-thaw cycles. 12 months from date of receipt, -20 to -70 degreesC as supplied. 1 month, 2 to 8 degreesC under sterile conditions after reconstitution. 6 months, -20 to -70 degreesC under sterile conditions after reconstitution. |
Product Content Correction
Your input is important to us. Please complete this form to provide feedback related to the content on this product.
Product Title
For Research Use Only
Spot an opportunity for improvement?Share a Content Correction