missing translation for 'onlineSavingsMsg'
Learn More
Learn More
Invitrogen™ NCOA4 Recombinant Rabbit Monoclonal Antibody (PSH05-45)

Rabbit Recombinant Monoclonal Antibody
Brand: Invitrogen™ MA556425
This item is not returnable.
View return policy
Description
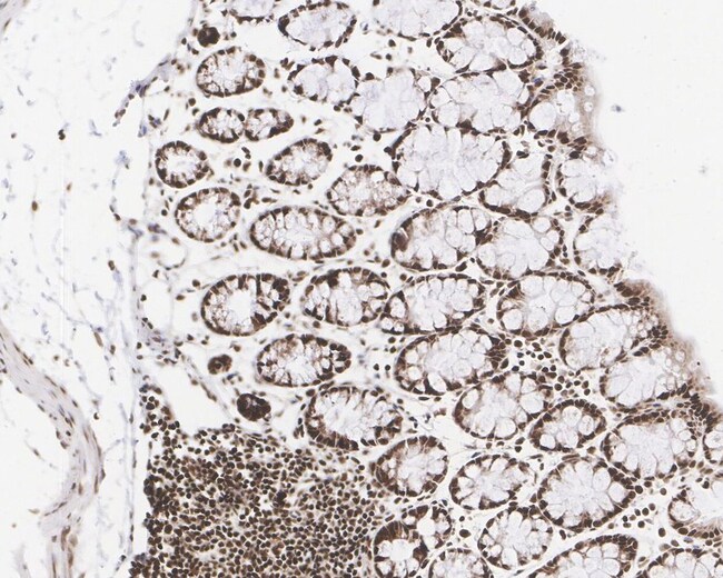
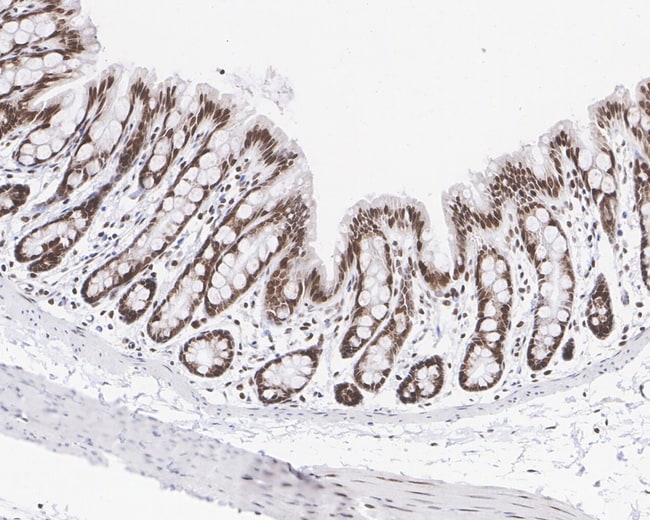
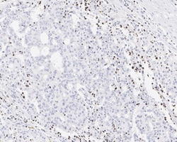
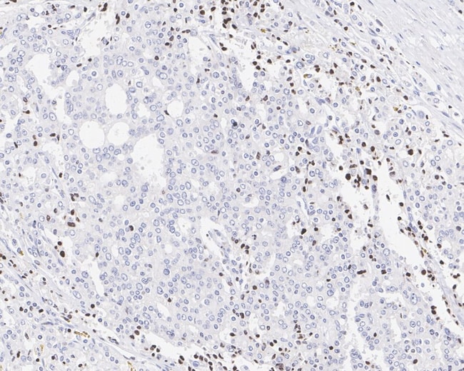
NCOA4 Recombinant Monoclonal Antibody for IHC (P)
Androgen receptor (AR) coactivator ARA70, also designated NCOA4, RFG and ELE1, is a putative co-activator that specifically enhances the activity of the androgen receptor. In human thyroid carcinomas, the Ret proto-oncogene fuses to ARA70 to form Ret/PTC3 by an intrachromosomal inversion of chromosome in vivo. ARA70 is expressed as two isoforms, ARA70a and ARA70b. The shorter variant, ARA70b, results from an internal 985-bp deletion. ARA70a is widely expressed, and its expression is highest in testis and adipose tissues, whereas ARA70b is solely expressed in the testis. ARA70a can function as a ligand-enhanced co-activator of PPARg in adipocytes. ARA70 may be involved in prostate carcinogenesis and ovarian cancer and may serve as a key mediator of estrogen-androgen synergism.
Specifications
| NCOA4 | |
| Recombinant Monoclonal | |
| 1 mg/mL | |
| PBS with 0.1% BSA, 40% glycerol and 0.05% sodium azide; pH 7.4 | |
| Q13772 | |
| NCOA4 | |
| Recombinant protein within human NCOA4 aa 1-400/614. | |
| 100 μL | |
| Primary | |
| Human, Mouse, Rat | |
| Antibody | |
| IgG |
| Immunohistochemistry (Paraffin) | |
| PSH05-45 | |
| Unconjugated | |
| NCOA4 | |
| 70 kDa androgen receptor coactivator; 70 kDa AR-activator; Androgen receptor coactivator 70 kDa protein; Androgen receptor-associated protein of 70 kDa; ARA70; ELE1; NCOA4; NCoA-4; Nuclear receptor coactivator 4; PTC3; ret fused; RET-activating gene ELE1; Ret-activating protein ELE1; RFG | |
| Rabbit | |
| Protein A | |
| RUO | |
| 27057, 619385, 8031 | |
| Store at 4°C short term. For long term storage, store at -20°C, avoiding freeze/thaw cycles. | |
| Liquid |
Product Content Correction
Your input is important to us. Please complete this form to provide feedback related to the content on this product.
Product Title
Spot an opportunity for improvement?Share a Content Correction