missing translation for 'onlineSavingsMsg'
Learn More

NUP43 Monoclonal Antibody (OTI6E11), TrueMAB™, OriGene

Mouse Monoclonal Antibody

Brand:  Origene Technologies TA807567

Encompass_Preferred

 View more versions of this product

Product Code. 17568143

  • 540.87€ / 100µL

Please to purchase this item. Need a web account? Register with us today!

This item is not returnable. View return policy

Description

Description

Component of the Nup107-160 subcomplex of the nuclear pore complex (NPC). The Nup107-160 subcomplex is required for the assembly of a functional NPC. The Nup107-160 subcomplex is also required for normal kinetochore microtubule attachment, mitotic progression and chromosome segregation.
Specifications

Specifications

NUP43
Monoclonal
1 mg/mL
PBS with 1% BSA, 50% glycerol and 0.02% sodium azide
Q8NFH3
NUP43
Human recombit protein fragment corresponding to amino acids 1-253 of human NUP43 produced in E.coli.
100 μL
Primary
Human
Antibody
IgG1
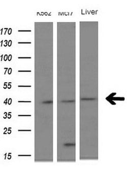
Western Blot
OTI6E11
Unconjugated
NUP43
bA350J20.1, p42
Mouse
Affinity Chromatography
RUO
348995
-20° C, Avoid Freeze/Thaw Cycles
Liquid
Product Suggestions

Product Suggestions

Videos
SDS
Documents

Documents

Certificates
Promotions

Promotions

Product Content Correction

The Fisher Scientific Encompass Program offers items which are not part of our distribution portfolio. These products typically do not have pictures or detailed descriptions. However, we are committed to improving your shopping experience. Please use the form below to provide feedback related to the content on this product.

Product Title

By clicking Submit, you acknowledge that you may be contacted by Fisher Scientific in regards to the feedback you have provided in this form. We will not share your information for any other purposes. All contact information provided shall also be maintained in accordance with our Privacy Policy.

Thank You! Your feedback has been submitted. Fisher Scientific is always working to improve our content for you. We appreciate your feedback.