missing translation for 'onlineSavingsMsg'
Learn More
Learn More
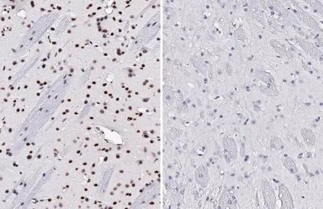
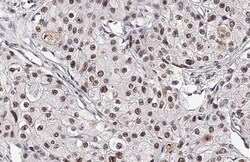
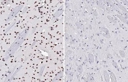
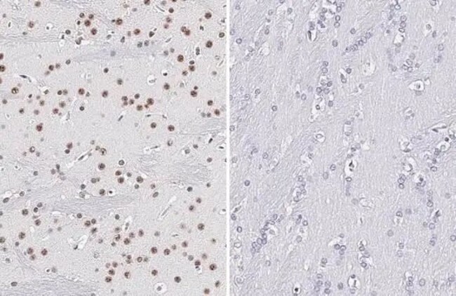
Phospho-p38 MAPK (Tyr182) Recombinant Rabbit Monoclonal Antibody (HL2741)

Phospho-p38 MAPK (Tyr182) Recombinant Rabbit Monoclonal Antibody (HL2741)
Brand: Invitrogen MA556829
This item is not returnable.
View return policy
Description
Phospho-p38 MAPK (Tyr182) Recombinant Monoclonal Antibody for ICC/IF, IHC (P)
Specifications
| Phospho-p38 MAPK (Tyr182) | |
| Recombinant Monoclonal | |
| 1 mg/mL | |
| PBS with no preservative | |
| P47811, P70618, Q16539 | |
| MAPK14 | |
| Carrier-protein conjugated synthetic peptide surrounding phospho Tyr182 of human p38 MAPK. The exact sequence is proprietary. | |
| 100 μL | |
| Primary | |
| Human, Mouse, Rat | |
| Antibody | |
| IgG |
| Immunohistochemistry (Paraffin), Immunocytochemistry | |
| HL2741 | |
| Unconjugated | |
| MAPK14 | |
| 186F5S; anon-sts23; BG:DS00797.3; CG7393; CG7393-PA; CRK1; CSAID-binding protein; Csaids binding protein; CSBP; Csbp1; Csbp2; CSPB1; cytokine suppressive anti-inflammatory drug binding protein; cytokine suppressive anti-inflammatory drug binding protein 1; cytokine suppressive anti-inflammatory drug-binding protein; cytokine-supressive anti-inflammatory drug binding protein; Dm p38b; Dmel\CG7393; Dmel_CG7393; Dmp38b; Dp38; D-p38; D-p38 MAPK; Dp38b; D-p38b; EC 2.7.11.24; ERK1; ERT2; ESTS:186F5S; etID18993.8; Exip; fk28c03; hm:zeh1243; Hog; I79_016605; LD24658p; MAP 14; MAP kinase 1; MAP kinase 11; MAP kinase 14; MAP kinase 14A; MAP kinase 2; MAP kinase Mxi2; MAP kinase p38; MAP kinase p38 alpha; MAP kinase p38 beta; MAP kinase p38a; MAP kinase p38alpha; MAP kinase p38b; MAPK; MAPK 11; MAPK 14; MAPK 14A; MAPK1 antibody; Mapk11; Mapk14; mapk14a; MAX-interacting protein 2; mitogen activated protein kinase 11; mitogen activated protein kinase 14; mitogen-activated protein kinase 11; Mitogen-activated protein kinase 14; mitogen-activated protein kinase 14a; Mitogen-activated protein kinase p38 alpha; mitogen-activated protein kinase p38 beta; mitogen-activated protein kinase p38-2; mitogen-activated protein kinase p38a; Mitogen-activated protein kinase p38b; MK14; Mpk34C; Mxi2; OTTHUMP00000216563; OTTHUMP00000216566; P38; p38 alpha; p38 alpha/Mxi2; p38 beta; p38 MAP kinase; p38 MAP kinase alpha; p38 MAPK; p38 mitogen activated protein kinase; p38 mitogen-activated protein kinase; p38-2; p38a; p38ALPHA; p38-alpha; p38alpha Exip; P38B; p38b MAP kinase; p38beta; p38beta2; p38b-PA; p38Hog; p38Kb; p38MAPK; PRKM11; Prkm14; Prkm15; protein kinase, mitogen activated kinase, 11, p38beta; reactive kinase; RK; RP1-179N16.5; Sapk2; Sapk2A; SAPK2b; stress-activated p38b MAP kinase; stress-activated protein kinase 2A; Stress-activated protein kinase 2b; stress-activated protein kinase-2; stress-activated protein kinase-2b; tRNA synthetase cofactor p38; wu:fk28c03; zeh1243; zp38a | |
| Rabbit | |
| Protein A | |
| RUO | |
| 1432, 26416, 81649 | |
| -20°C, Avoid Freeze/Thaw Cycles | |
| Liquid |
Product Content Correction
Your input is important to us. Please complete this form to provide feedback related to the content on this product.
Product Title
Spot an opportunity for improvement?Share a Content Correction