missing translation for 'onlineSavingsMsg'
Learn More

Invitrogen™ PTPN2 Polyclonal Antibody

Rabbit Polyclonal Antibody

Brand:  Invitrogen™ PA579895

Product Code. 15995455

  • 463.00€ / 100µg

Please to purchase this item. Need a web account? Register with us today!

This item is not returnable. View return policy

Description

Description

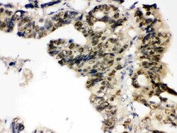
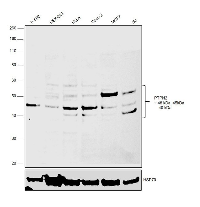
Reconstitute with 0.2 mL of distilled water to yield a concentration of 500 μg/mL. Positive Control - WB: HELA whole cell, JURKAT whole cell. IHC: rat kidney tissue, human intestinal cancer tissue.

T-cell protein tyrosine phosphatase (TC-PTP), also known as PTPT and PTPN2, is an enzyme that removes phosphate groups covalently attached to tyrosine residues in proteins. This enzyme has two C-terminal end splice variants with distinctly different subcellular localizations. The shorter 45 kilodalton isoform is exclusively nuclear in resting cells, but redistrubutes to the cytosol upon stimulation with growth factors and cellular stress. The longer 48 kilodalton isoform is exclusively found in the endoplasmic reticulum 3 and seems to have distinctly different physiologic substrates from the smaller isoform. Although found in many cell types and tissues, TC-PTP is particularly prominent in hemopoietic cell types. Knockout mice lacking TC-PTP are born viable but die 3 to 5 weeks after birth of erythropoietic and lymphopoietic deficits 7, indicating a critical role for TC-PTP in bone marrow maturation. TC-PTP will dephosphorylate a wide range of phosphoproteins, such as p52 Shc 6 and receptors for EGF 1, Insulin 8 and growth hormone.
TRUSTED_SUSTAINABILITY
Specifications

Specifications

PTPN2
Polyclonal
Unconjugated
PTPN2
AI325124; hypothetical protein LOC540888; MPTP; protein tyrosine phosphatase non-receptor type 2; protein tyrosine phosphatase, non-receptor type 2; protein-tyrosine phosphatase PTP-2; Protein-tyrosine phosphatase PTP-S; PTN2; PTPN 2; PTPN2; Ptpt; T cell protein-tyrosine phosphatase; TC PTP; T-cell protein tyrosine phosphatase; T-cell protein-tyrosine phosphatase; TCELLPTP; TCPTP; TC-PTP; tyrosine-phosphatase; Tyrosine-protein phosphatase non-receptor type 2
Rabbit
Antigen affinity chromatography
RUO
117063, 5771
-20°C
Lyophilized
Immunohistochemistry (Paraffin), Western Blot, Immunocytochemistry
500 μg/mL
PBS with 5mg BSA and 0.05mg sodium azide
P17706, P35233
PTPN2
E.coli-derived human TCPTP recombinant protein (Position: M1-C330).
100 μg
Primary
Human, Rat
Antibody
IgG
Product Suggestions

Product Suggestions

Videos
SDS
Documents

Documents

Certificates
Promotions

Promotions

Product Content Correction

Your input is important to us. Please complete this form to provide feedback related to the content on this product.

Product Title

By clicking Submit, you acknowledge that you may be contacted by Fisher Scientific in regards to the feedback you have provided in this form. We will not share your information for any other purposes. All contact information provided shall also be maintained in accordance with our Privacy Policy.

Thank You! Your feedback has been submitted. Fisher Scientific is always working to improve our content for you. We appreciate your feedback.