missing translation for 'onlineSavingsMsg'
Learn More

ROR gamma/RORC/NR1F3 Mouse anti-Human, Clone: RORC/2941, Novus Biologicals™

Mouse Monoclonal Antibody

Brand:  Novus Biologicals NBP3-07564-100ug

 View more versions of this product

Product Code. 18683387

  • 527.00€ / 100µg

Please to purchase this item. Need a web account? Register with us today!

This item is not returnable. View return policy

Description

Description

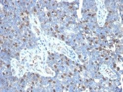
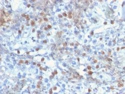
ROR gamma/RORC/NR1F3 Monoclonal specifically detects ROR gamma/RORC/NR1F3 in Human samples. It is validated for Flow Cytometry, Immunocytochemistry/Immunofluorescence, Immunohistochemistry-Paraffin, Protein Array.
TRUSTED_SUSTAINABILITY
Specifications

Specifications

ROR gamma/RORC/NR1F3
Monoclonal
0.2 mg/mL
Flow Cytometry 1 to 2 μg/million cells, Immunocytochemistry/Immunofluorescence, Immunohistochemistry-Paraffin 1 to 2 μg/mL, Protein Array
MGC129539, Nuclear receptor ROR gamma, Nuclear receptor ROR-gamma, Nuclear receptor RZR gamma, Nuclear receptor RZR-gamma, Nuclear receptor subfamily 1 group F member 3, RAR-Related Orphan Nuclear Receptor Variant 2, RAR-related orphan receptor C, RAR-related orphan receptor gamma, retinoic acid-binding receptor gamma, retinoid-related orphan receptor gamma, Retinoid-related orphan receptor-gamma, ROR gamma, RORG, RORGMGC129539, RZRG, RZRGRZR-GAMMA, TOR
Recombinant full-length human ROR gamma/RORC/NR1F3 protein
100 μg
Primary
Human
Purified
Flow Cytometry, Immunofluorescence, Immunohistochemistry (Paraffin), Peptide Array
RORC/2941
Unconjugated
10 mM PBS with 0.05% BSA
Mouse
Protein A or G purified
RUO
6097
Store at 4°C.
IgG2a κ
Product Suggestions

Product Suggestions

Videos
SDS
Documents

Documents

Certificates
Promotions

Promotions

Product Content Correction

Your input is important to us. Please complete this form to provide feedback related to the content on this product.

Product Title

By clicking Submit, you acknowledge that you may be contacted by Fisher Scientific in regards to the feedback you have provided in this form. We will not share your information for any other purposes. All contact information provided shall also be maintained in accordance with our Privacy Policy.

Thank You! Your feedback has been submitted. Fisher Scientific is always working to improve our content for you. We appreciate your feedback.