missing translation for 'onlineSavingsMsg'
Learn More
Learn More
Invitrogen™ S6 Monoclonal Antibody (A6B9)

Mouse Monoclonal Antibody
Brand: Invitrogen™ MA544969
This item is not returnable.
View return policy
Description
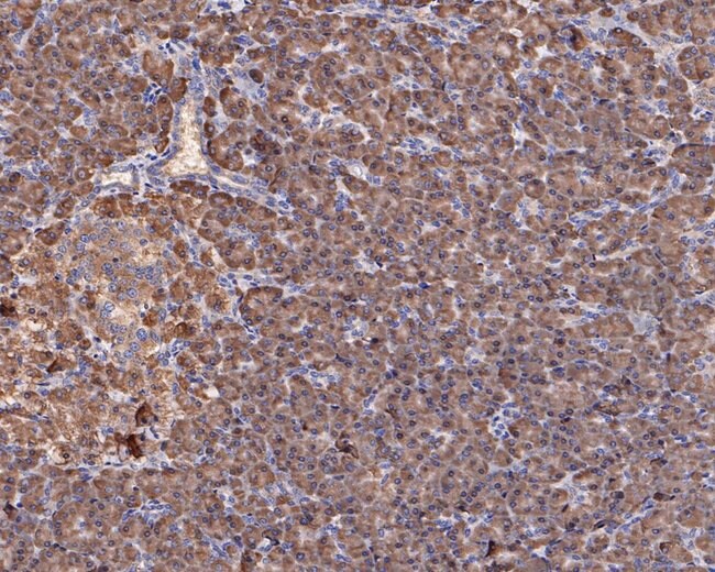
S6 Monoclonal Antibody for Western Blot, ICC/IF, IHC (P), Flow
Ribosomes, the organelles that catalyze protein synthesis, consist of a small 40S subunit and a large 60S subunit. Together these subunits are composed of 4 RNA species and approximately 80 structurally distinct proteins. This gene encodes a cytoplasmic ribosomal protein that is a component of the 40S subunit. The protein belongs to the S6E family of ribosomal proteins. It is the major substrate of protein kinases in the ribosome, with subsets of five C-terminal serine residues phosphorylated by different protein kinases. Phosphorylation is induced by a wide range of stimuli, including growth factors, tumor-promoting agents, and mitogens. Dephosphorylation occurs at growth arrest. The protein may contribute to the control of cell growth and proliferation through the selective translation of particular classes of mRNA. As is typical for genes encoding ribosomal proteins, there are multiple processed pseudogenes of this gene dispersed through the genome.
Specifications
| S6 | |
| Monoclonal | |
| 2 mg/mL | |
| TBS with 0.2% BSA, 50% glycerol and 0.05% sodium azide; pH 7.4 | |
| P62753, P62754, P62755 | |
| RPS6 | |
| Recombinant protein within human RPS6 aa 1-150. | |
| 100 μL | |
| Primary | |
| Human, Mouse, Rat | |
| Antibody | |
| IgG1 |
| Flow Cytometry, Immunohistochemistry (Paraffin), Western Blot, Immunocytochemistry | |
| A6B9 | |
| Unconjugated | |
| RPS6 | |
| (Rp)S6; 40S ribosomal protein S6; air[8]; air8; anon-WO02059370.61; CG10944; CG10944-PA; CG10944-PB; Dmel\CG10944; Dmel_CG10944; DS6; hemocytes enlarged; hen; l(1)air[8]; l(1)air8; l(1)hen; LD31286p; lethal(1)aberrant immune response[8]; lethal-(1)-haemocytes enlarged; lethal-aberrant-immune-response-8; M(1)7BC; M(1)7C; minute; minute (1) 7BC; OK/SW-cl.2; OTTHUMP00000021121; OTTHUMP00000021122; Phosphoprotein NP33; pp30; ribosomal protein S6; Rp S6; RP11-513M16.6; RPS6; RpS6-PA; RpS6-PB; RS6; S6; S6 ribosomal protein; S6R; Small ribosomal subunit protein eS6; wu:fa92e06; wu:fb64g06; zgc:92237 | |
| Mouse | |
| Protein G | |
| RUO | |
| 20104, 29304, 6194 | |
| Store at 4°C short term. For long term storage, store at -20°C, avoiding freeze/thaw cycles. | |
| Liquid |
Product Content Correction
Your input is important to us. Please complete this form to provide feedback related to the content on this product.
Product Title
Spot an opportunity for improvement?Share a Content Correction