missing translation for 'onlineSavingsMsg'
Learn More
Learn More
Invitrogen™ SAV1 Recombinant Rabbit Monoclonal Antibody (PSH04-45)

Rabbit Recombinant Monoclonal Antibody
Brand: Invitrogen™ MA556419
This item is not returnable.
View return policy
Description
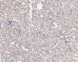
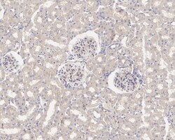
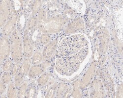
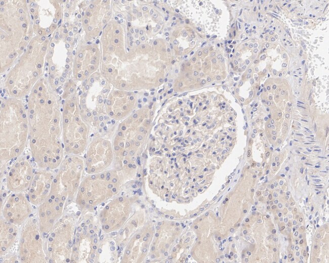
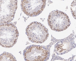
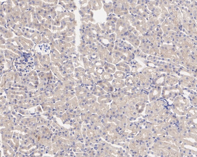
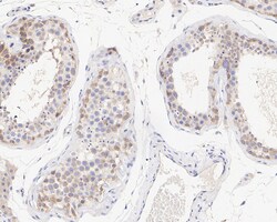
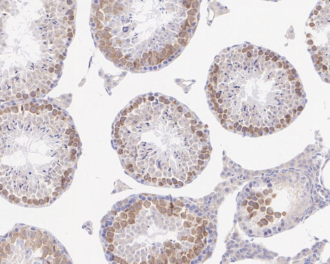
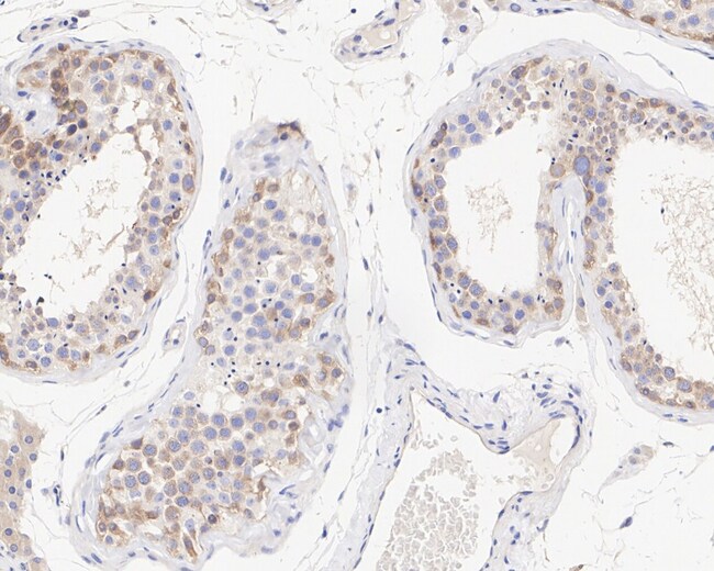
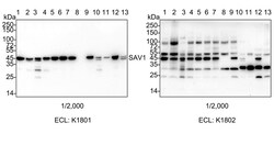
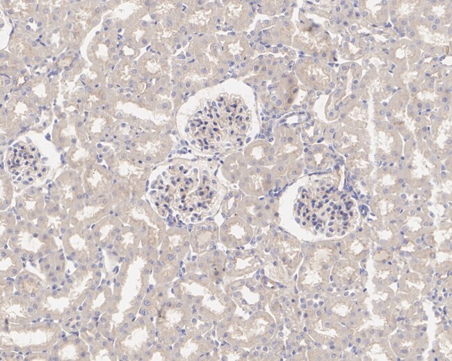
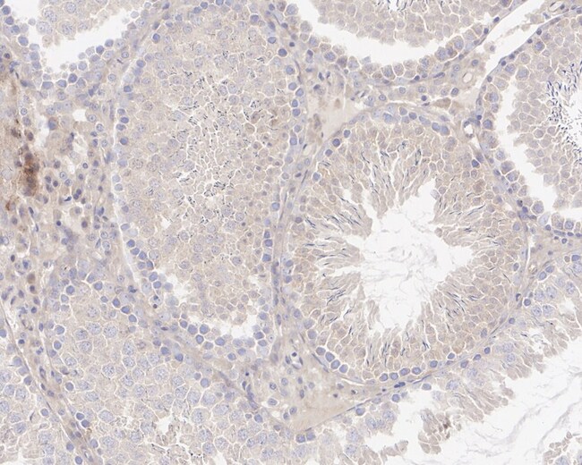
SAV1 Recombinant Monoclonal Antibody for Western Blot, IHC (P), Flow
Sav1 is a regulator of STK3/MST2 and STK4/MST1 in the Hippo signaling pathway which plays a pivotal role in organ size control and tumor suppression by restricting proliferation and promoting apoptosis. The core of this pathway is composed of a kinase cascade wherein STK3/MST2 and STK4/MST1, in complex with its regulatory protein SAV1, phosphorylates and activates LATS1/2 with its regulatory protein MOB1, which in turn phosphorylates and inactivates YAP1 oncoprotein and WWTR1/TAZ. Phosphorylation of YAP1 by LATS1/2 inhibits its translocation into the nucleus to regulate cellular genes important for cell proliferation, cell death, and cell migration. SAV1 is required for STK3/MST2 and STK4/MST1 activation and promotes cell-cycle exit and terminal differentiation in developing epithelial tissues. It also plays a role in centrosome disjunction by regulating the localization of NEK2 to centrosomes, and its ability to phosphorylate CROCC and CEP250. In conjunction with STK3/MST2, Sav1 activates the transcriptional activity of ESR1 through the modulation of its phosphorylation.
Specifications
| SAV1 | |
| Recombinant Monoclonal | |
| 1 mg/mL | |
| PBS with 0.1% BSA, 40% glycerol and 0.05% sodium azide; pH 7.4 | |
| A4V8B4, Q8VEB2, Q9H4B6 | |
| SAV1 | |
| Recombinant protein within human SAV1 aa 1-383/383. | |
| 100 μL | |
| Primary | |
| Human, Mouse, Rat | |
| Antibody | |
| IgG |
| Flow Cytometry, Immunohistochemistry (Paraffin), Western Blot | |
| PSH04-45 | |
| Unconjugated | |
| SAV1 | |
| 1700040G09Rik; 45 kDa WW domain protein; EMBL:CAJ98868.1}; hWW45; mWW45; Protein salvador homolog 1; rWW45; Salv; salvador family WW domain containing protein 1; salvador homolog 1; salvador homolog 1 (Drosophila); Salvador homolog 1 protein; salvador-like protein 1-like protein; Sav; Sav1; sav1 {ECO:0000312; WW domain-containing adaptor 45; WW domain-containing protein 3; WW domain-containing protein 4; WW45; WW45 protein; Wwp3; Wwp4 | |
| Rabbit | |
| Protein A | |
| RUO | |
| 299116, 60485, 64010 | |
| Store at 4°C short term. For long term storage, store at -20°C, avoiding freeze/thaw cycles. | |
| Liquid |
Product Content Correction
Your input is important to us. Please complete this form to provide feedback related to the content on this product.
Product Title
Spot an opportunity for improvement?Share a Content Correction