missing translation for 'onlineSavingsMsg'
Learn More

Semaphorin 4D/CD100 Antibody (5H6E3) - BSA Free, Novus Biologicals™

Mouse Monoclonal Antibody

Brand:  Novus Biologicals NBP2-61663-0.025ml

 View more versions of this product

Product Code. 18654218

  • 230.00€ / 0.03mL

Please to purchase this item. Need a web account? Register with us today!

This item is not returnable. View return policy

Description

Description

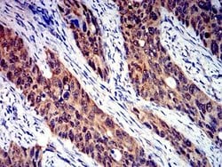
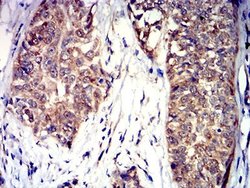
Semaphorin 4D/CD100 Monoclonal specifically detects Semaphorin 4D/CD100 in Human samples. It is validated for Western Blot, Flow Cytometry, ELISA, Immunohistochemistry, Immunohistochemistry-Paraffin.
TRUSTED_SUSTAINABILITY
Specifications

Specifications

Semaphorin 4D/CD100
Monoclonal
1 mg/mL
Western Blot 1:100-1:2000, Flow Cytometry 1:10-1:1000, ELISA 1:100-1:2000, Immunohistochemistry 1:10-1:1000, Immunohistochemistry-Paraffin 1:200 - 1:1000
A8, CD100 antigen, CD100M-sema-G, coll-4, FLJ33485, FLJ34282, FLJ39737, FLJ46484, immunoglobulin domain (Ig), transmembrane domain (TM) and shortcytoplasmic domain, 4D, MGC169138, MGC169141, sema domain, immunoglobulin domain (Ig), transmembrane domain (TM) and shortcytoplasmic domain, (semaphorin) 4D, semaphorin-4D
Mouse
96.2 kDa
0.025 mL
Primary
Store at 4°C short term. Aliquot and store at -20°C long term. Avoid freeze/thaw cycles.
IgG1
Western Blot, Flow Cytometry, ELISA, Immunohistochemistry, Immunohistochemistry (Paraffin)
5H6E3
Unconjugated
PBS with 0.05% Sodium Azide
SEMA4D
Purified recombinant fragment of human CD100 (AA: extra 590-734) expressed in E. Coli.
Protein G purified
Apoptosis, Immunology
10507
Purified
Product Suggestions

Product Suggestions

Videos
SDS
Documents

Documents

Certificates
Promotions

Promotions

Product Content Correction

Your input is important to us. Please complete this form to provide feedback related to the content on this product.

Product Title

By clicking Submit, you acknowledge that you may be contacted by Fisher Scientific in regards to the feedback you have provided in this form. We will not share your information for any other purposes. All contact information provided shall also be maintained in accordance with our Privacy Policy.

Thank You! Your feedback has been submitted. Fisher Scientific is always working to improve our content for you. We appreciate your feedback.