missing translation for 'onlineSavingsMsg'
Learn More
Learn More
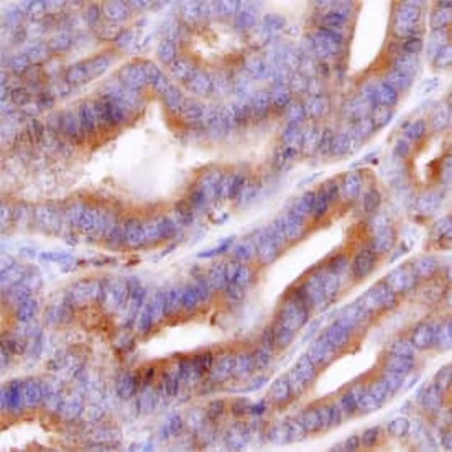
Invitrogen™ SULT2B1 Monoclonal Antibody (682516)

Mouse Monoclonal Antibody
Brand: Invitrogen™ MA561634
This item is not returnable.
View return policy
Description
Reconstitute with sterile PBS to a final concentration of 0.5 mg/mL.
Cytosolic sulfotransferases (STs or SULTs) catalyze the sulfate conjugation of many drugs, xenobiotic compounds, hormones, and neurotransmitters. Her et al. (1998) identified an EST with homology to ST enzymes. By PCR with human placental and prostate cDNA as template, they isolated 2 alternatively spliced cDNAs, identical throughout most of their sequences, but having different 5-prime ends. The shorter cDNA, SULT2B1a, encodes a protein of 350 amino acids; the longer cDNA, SULT2B1b, encodes a 365-amino acid protein. Genomic PCR analysis revealed that the gene encoding both cDNAs, SULT2B1, contains 7 exons, with 2 alternative first exons being used to generate SULT2B1a and SULT2B1b. Northern blot analysis revealed that the SULT2B1 gene is expressed as a 1.4-kb transcript predominantly in prostate, placenta, and trachea.
Specifications
| SULT2B1 | |
| Monoclonal | |
| 0.5 mg/mL | |
| PBS with trehalose and no preservative | |
| O00204 | |
| SULT2B1 | |
| E. coli-derived recombinant human Cytosolic Sulfotransferase 2B1/SULT2B1, Asp2-Ser365. | |
| 100 μg | |
| Primary | |
| Human | |
| Antibody | |
| IgG2a |
| Immunohistochemistry (Paraffin) | |
| 682516 | |
| Unconjugated | |
| SULT2B1 | |
| AI326997; alcohol sulfotransferase; BB173635; HSST2; Hydroxysteroid sulfotransferase 2; RGD:1308882}; ST2B1; sulfotransferase 2B; sulfotransferase 2B1; Sulfotransferase family 2B member 1; sulfotransferase family cytosolic 2B member 1; sulfotransferase family, cytosolic, 2B, member 1; SULT2B; Sult2b1; sult2b1 {ECO:0000312; SULT2B1a | |
| Mouse | |
| Protein A/G | |
| RUO | |
| 6820 | |
| Store at 4°C short term. For long term storage, store at -20°C, avoiding freeze/thaw cycles. | |
| Lyophilized |
Product Content Correction
Your input is important to us. Please complete this form to provide feedback related to the content on this product.
Product Title
Spot an opportunity for improvement?Share a Content Correction