Learn More
Invitrogen™ Blimp-1 Polyclonal Antibody

Description
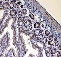
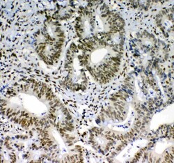
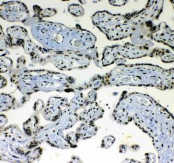
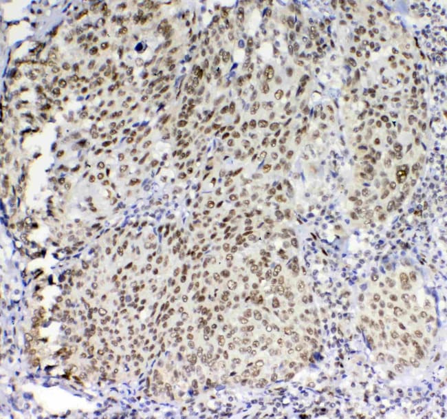
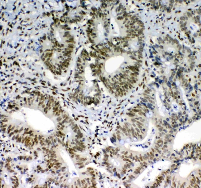
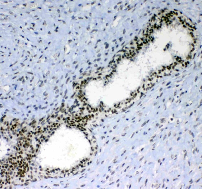
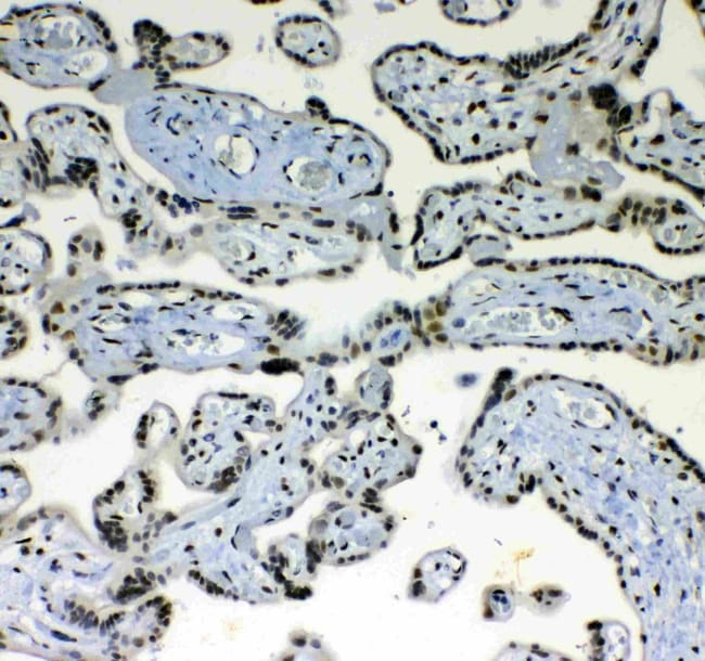
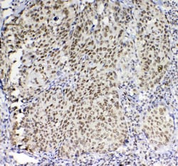
Reconstitute with 0.2 mL of distilled water to yield a concentration of 500 μg/mL. Positive Control - WB: human Hela whole cell, human A549 whole cell, human 293T whole cell, human MCF-7 whole cell, human 22RV1 whole cell, rat thymus tissue, rat spleen tissue, rat stomach tissue, rat lung tissue, mouse thymus tissue, mouse spleen tissue, mouse stomach tissue, mouse lung tissue, mouse HEPA1-6 whole cell. IHC: human colon cancer tissue, human lung cancer tissue, human mammary cancer tissue, human placenta tissue, mouse small intestine tissue, rat small intestine tissue.
Specifications
Specifications
| Antigen | Blimp-1 |
| Applications | ELISA, Immunohistochemistry (Paraffin), Western Blot |
| Classification | Polyclonal |
| Concentration | 500 μg/mL |
| Conjugate | Unconjugated |
| Formulation | PBS with 4mg trehalose and 0.05mg sodium azide |
| Gene | PRDM1 |
| Gene Accession No. | O75626, Q60636 |
| Gene Alias | B lymphocyte-induced maturation protein 1; b2b1765Clo; Beta-interferon gene positive regulatory domain I-binding factor; beta-interferon gene positive-regulatory domain I binding factor; BLIMP 1; Blimp1; BLIMP-1; B-lymphocyte-induced maturation protein 1; MGC118922; MGC118923; MGC118924; MGC118925; OTTHUMP00000016918; OTTHUMP00000202173; Positive regulatory domain I-binding factor 1; PR domain 1; PR domain containing 1, with ZNF domain; PR domain zinc finger protein 1; PR domain-containing protein 1; PR/SET domain 1; PRDI BF1; PRDI-BF1; PRDI-binding factor-1; Prdm1; RP1-134E15.1; ZNFPR1A1 |
| Gene Symbols | PRDM1 |
| Show More |
By clicking Submit, you acknowledge that you may be contacted by Fisher Scientific in regards to the feedback you have provided in this form. We will not share your information for any other purposes. All contact information provided shall also be maintained in accordance with our Privacy Policy.