missing translation for 'onlineSavingsMsg'
Learn More

CD41/Integrin alpha 2b Rabbit anti-Human, Mouse, Rat, Polyclonal, Proteintech

Rabbit Polyclonal Antibody

Brand:  Proteintech 24552-1-AP-20UL

 View more versions of this product

Product Code. 16803035

  • 145.00€ / 20µL

Please to purchase this item. Need a web account? Register with us today!

This item is not returnable. View return policy

Description

Description

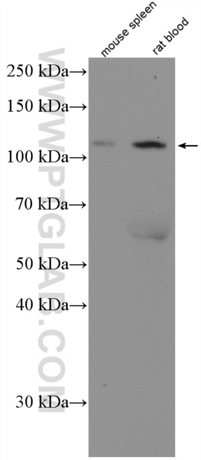
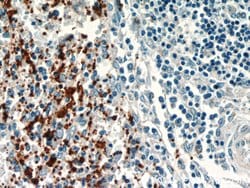
CD41 (platelet glycoprotein IIb, ITGA2B) is composed of two subunits -120 kDa a, alpha and 23 kDa b, beta- that interact with CD61 in the presence of calcium to form a functional adhesive protein receptor. CD41 is also involved in blood coagulation by mediating platelet aggregation. Upon blood vessel damage, CD41 binds to a variety of proteins including von Willebrand factor, fibrinogen, fibronectin and vitronectin. CD41 is mainly expressed on megakaryocyte-platelet lineage, but generally belongs to the antigens that are expressed during the early stages of hematopoietic differentiation. Diseases associated with CD41 dysfunction include Glansmann Thrombasthenia, and Platelet type-16 bleeding disorder.
Specifications

Specifications

CD41/Integrin alpha 2b
Polyclonal
Unconjugated
ITGA2B
CD41, CD41B, GP2B, GPalpha IIb, GPIIb, GTA, HPA3, Integrin alpha IIb, ITGA2B, ITGAB
Rabbit
Antigen Affinity Chromatography
RUO
16399, 3674, 685269
-20°C
Liquid
Western Blot, Immunohistochemistry (Paraffin), Immunoprecipitation
0.45 mg/mL
PBS with 50% glycerol and 0.1% sodium azide; pH 7.3
P08514, Q9QUM0
Itga2b
CD41/Integrin alpha 2b Fusion Protein Ag19459
20 μL
Primary
Rat, Human, Mouse
Antibody
IgG
Product Suggestions

Product Suggestions

Videos
SDS
Documents

Documents

Certificates
Promotions

Promotions

Product Content Correction

Your input is important to us. Please complete this form to provide feedback related to the content on this product.

Product Title

By clicking Submit, you acknowledge that you may be contacted by Fisher Scientific in regards to the feedback you have provided in this form. We will not share your information for any other purposes. All contact information provided shall also be maintained in accordance with our Privacy Policy.

Thank You! Your feedback has been submitted. Fisher Scientific is always working to improve our content for you. We appreciate your feedback.