missing translation for 'onlineSavingsMsg'
Learn More
Learn More
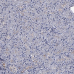
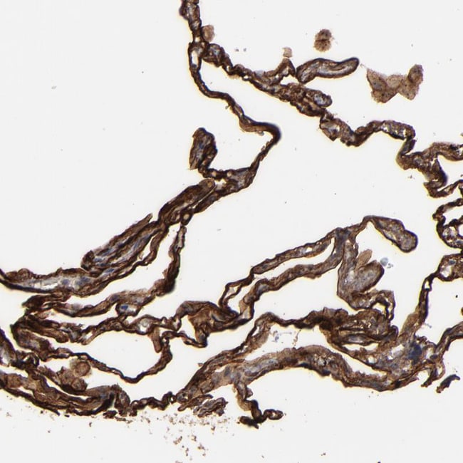
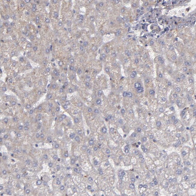
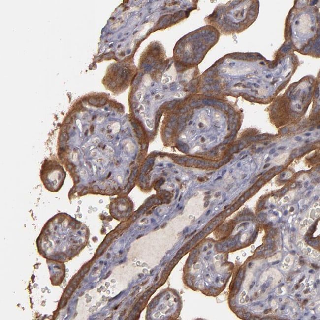
Invitrogen™ CD55 Polyclonal Antibody

Description
Immunogen sequence: YCPAPPQIDN GIIQGERDHY GYRQSVTYAC NKGFTMIGEH SIYCTVNNDE GEWSGPPPEC RGKSLTSKVP PTVQKPTTVN VPTTEVSPTS QKTTTKTTTP NAQATRSTPV SRTTKHFHET TPNKGSGTTS GTTRLLSGHT CFTLTGLLGT LVTMG Highest antigen sequence indentity to the following orthologs: Mouse - 42%, Rat - 38%.
CD55 (decay-accelerating factor, DAF) is a GPI-anchored membrane glycoprotein that protects autologous cells from classical and alternative pathway of complement cascade. Bidirectional interactions between CD55 and CD97 are involved in T cell regulation and CD55 can regulate complement when bound to CD97. In tumors, CD55 promotes neoangiogenesis, tumorigenesis, invasiveness and evasion of apoptosis. CD55 is a 70 kDa glycoprotein (in erythrocytes) anchored in the membrane by glycosylphosphatidylinositol tail. In other cells, the apparent molecular weight is somewhat larger for CD55 and has a substantial content of O-glycans. CD55 binds to activated C4b or C3b complement fragments on the cell surface, preventing the assembly and accelerating the decay of both classical and alternative pathways. CD55 carries the Cromer related blood group antigens. Two alternatively spliced transcripts encoding CD55 have been identified, and the predominant transcript encodes a membrane-bound protein expressed on cells exposed to plasma component proteins but an alternatively spliced transcript produces a soluble protein present at much lower levels. CD55 has been studied to have a role in prostate cancer growth and survival.
Specifications
Specifications
| Antigen | CD55 |
| Applications | Immunohistochemistry (Paraffin) |
| Classification | Polyclonal |
| Concentration | 0.1 mg/mL |
| Conjugate | Unconjugated |
| Formulation | PBS with 40% glycerol and 0.02% sodium azide; pH 7.2 |
| Gene | CD55 |
| Gene Accession No. | P08174 |
| Gene Alias | CD55; CD55 antigen; CD55 molecule (Cromer blood group); CD55 molecule, decay accelerating factor for complement; CD55 molecule, decay accelerating factor for complement (Cromer blood group); Cd55a; Complement decay-accelerating factor; complement decay-accelerating factor, GPI-anchored; complement-glycosylphosphatidylinositol; CR; CROM; Cromer blood group; Daf; Daf1; DAF-GPI; decay accelarating factor 1; decay accelerating factor 1; decay accelerating factor GPI-form; decay-accelarating factor; glycosylphophatidylinositol-anchored form; GPI anchor addition signal; GPI-DAF; RP11-357P18.1; TC |
| Gene Symbols | CD55 |
| Show More |
Product Title
By clicking Submit, you acknowledge that you may be contacted by Fisher Scientific in regards to the feedback you have provided in this form. We will not share your information for any other purposes. All contact information provided shall also be maintained in accordance with our Privacy Policy.
Spot an opportunity for improvement?