missing translation for 'onlineSavingsMsg'
Learn More
Learn More
Description
Immunogen sequence: PRLHLETPQP SPQEGGSVDI WRIPETGSPN SGLTPESGAE EPFLSNASSL LSLHVDLGPS ILDDVLQIMD QDLDSMQI Highest antigen sequence identity to the following orthologs: Mouse - 74%, Rat - 76%.
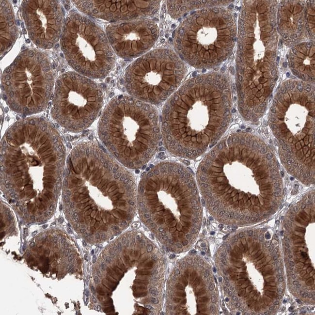
Cdc42, a small GTPase, regulates Actin polymerization, elongation of cell shape and cell signaling through interactions with many different downstream effector proteins, most of which contain a Cdc42-binding motif known as a CRIB domain. Cdc42EP2 (Cdc42 effector protein 2), also known as BORG1 or CEP2, is a 210 amino acid intracytoplasmic protein that localizes to both the cytoplasm and the cytoskeleton and contains one CRIB domain. Highly expressed in heart and present at lower levels in liver and pancreas, Cdc42EP2 interacts with Cdc42 and is thought to be involved in the organization of the Actin cytoskeleton and may also influence Actin filament assembly and overall cell shape.
Specifications
Specifications
| Antigen | Cdc42EP2 |
| Applications | Immunohistochemistry (Paraffin), Western Blot, Immunocytochemistry |
| Classification | Polyclonal |
| Concentration | 0.4 mg/mL |
| Conjugate | Unconjugated |
| Formulation | PBS with 40% glycerol and 0.02% sodium azide; pH 7.2 |
| Gene | CDC42EP2 |
| Gene Accession No. | O14613 |
| Gene Alias | 1110008C05Rik; binder of Rho GTPases 1; Borg1; CDC42 effector protein (Rho GTPase binding) 2; CDC42 effector protein 2; CDC42EP2; CEP2; CRIB-containing BOGR1 protein; D19Bwg1013e |
| Gene Symbols | CDC42EP2 |
| Show More |
Product Title
By clicking Submit, you acknowledge that you may be contacted by Fisher Scientific in regards to the feedback you have provided in this form. We will not share your information for any other purposes. All contact information provided shall also be maintained in accordance with our Privacy Policy.
Spot an opportunity for improvement?
