missing translation for 'onlineSavingsMsg'
Learn More
Learn More
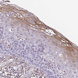
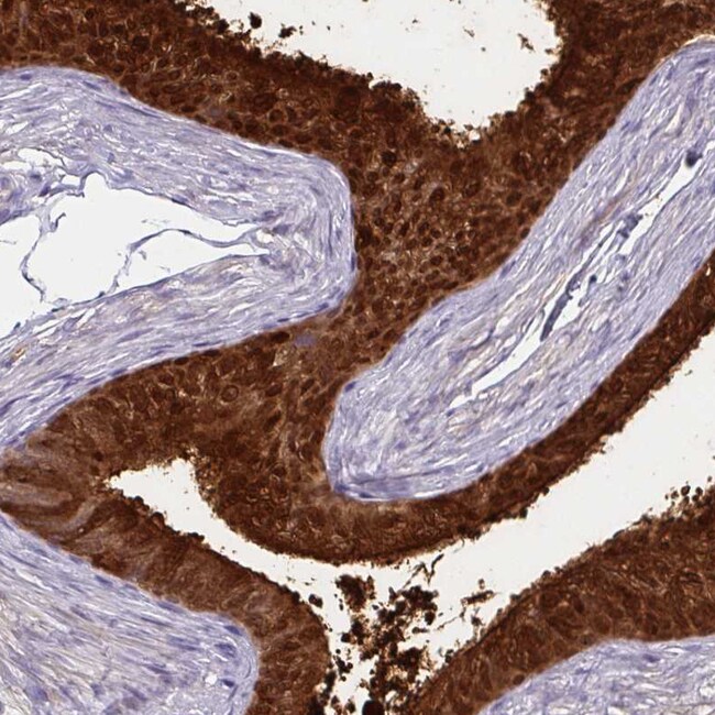
Invitrogen™ ECM1 Polyclonal Antibody

Description
Immunogen sequence: EDTLDKYCDR EYAVKTHHHL CCRHPPSPTR DECFARRAPY PNYDRDILTI DIGRVTPNLM GHLCGNQRVL TKHKHIPGLI HNMTARCCDL PFPEQACCAE EEKLTFINDL CGPRRNIWRD PALCCYLSPG DEQVNCFNIN YLRNVALVS Highest antigen sequence indentity to the following orthologs: Mouse - 76%, Rat - 79%.
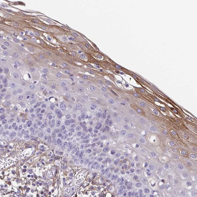
ECM1, also referred to as extracellular matrix protein 1, is a protein that plays a significant role in regulating extracellular matrix organization and cell adhesion. It is expressed in various tissues, including the skin, lung, and liver, and is involved in the development and progression of several diseases, including cancer and dermatological disorders. The protein interacts with several extracellular matrix proteins, such as collagen and fibronectin, and is involved in the regulation of cell proliferation, migration, and invasion. ECM1 is also involved in endochondral bone formation, angiogenesis, and tumor biology. It interacts with various extracellular and structural proteins, contributing to the maintenance of skin integrity and homeostasis. Mutations in this gene are associated with lipoid proteinosis disorder (also known as hyalinosis cutis et mucosae or Urbach-Wiethe disease) that is characterized by generalized thickening of skin, mucosae, and certain viscera. Different isoforms of ECM1 have been described in alternatively spliced transcript variants. Diseases associated with ECM1 include Lipoid Proteinosis Of Urbach And Wiethe and Lichen Sclerosus Et Atrophicus.
Specifications
Specifications
| Antigen | ECM1 |
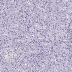
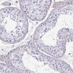
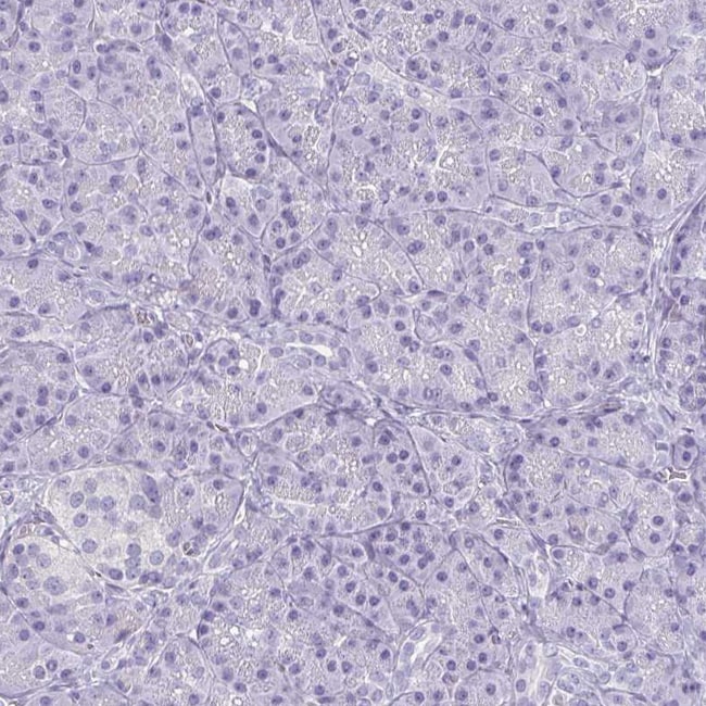
| Applications | Immunohistochemistry (Paraffin), Western Blot |
| Classification | Polyclonal |
| Concentration | 0.1 mg/mL |
| Conjugate | Unconjugated |
| Formulation | PBS with 40% glycerol and 0.02% sodium azide; pH 7.2 |
| Gene | ECM1 |
| Gene Accession No. | Q16610 |
| Gene Alias | AI663821; ECM1; Extracellular matrix protein 1; LOW QUALITY PROTEIN: extracellular matrix protein 1; extracellular matrix protein 1; p85; RP11-54A4.6; Secretory component p85; testicular tissue protein Li 61; URBWD |
| Gene Symbols | ECM1 |
| Show More |
Product Title
By clicking Submit, you acknowledge that you may be contacted by Fisher Scientific in regards to the feedback you have provided in this form. We will not share your information for any other purposes. All contact information provided shall also be maintained in accordance with our Privacy Policy.
Spot an opportunity for improvement?