missing translation for 'onlineSavingsMsg'
Learn More
Learn More
Invitrogen™ PFKM Recombinant Rabbit Monoclonal Antibody (JU53-31)

Description
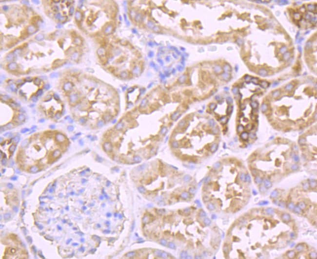
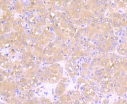
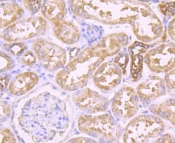
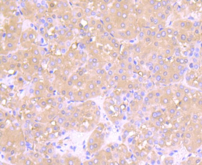
Positive Control: PC-3M, LOVO, SH-SY-5Y, rat brain tissue, human liver cancer tissue, human thyroid gland tissue, mouse skeletal muscle tissue, human kidney tissue.
Tight junctions represent one mode of cell-to-cell adhesion in epithelial or endothelial cell sheets, forming continuous seals around cells and serving as a physical barrier to prevent solutes and water from passing freely through the paracellular space. The protein encoded by this immunoglobulin superfamily gene member is localized in the tight junctions between high endothelial cells. Unlike other proteins in this family, the this protein is unable to adhere to leukocyte cell lines and only forms weak homotypic interactions. The encoded protein is a member of the junctional adhesion molecule protein family and acts as a receptor for another member of this family.
Specifications
Specifications
| Antigen | PFKM |
| Applications | Flow Cytometry, Immunohistochemistry (Paraffin), Western Blot, Immunocytochemistry |
| Classification | Recombinant Monoclonal |
| Clone | JU53-31 |
| Concentration | 1 mg/mL |
| Conjugate | Unconjugated |
| Formulation | TBS with 0.05% BSA, 40% glycerol and 0.05% sodium azide; pH 7.4 |
| Gene | PFKM |
| Gene Accession No. | P08237 |
| Gene Alias | 6-phosphofructo-1-kinase; 6-phosphofructokinase type A; 6-phosphofructokinase, muscle type; AI131669; ATP-dependent 6-phosphofructokinase, muscle type; ATP-dependent 6-phosphofructokinase, muscle type {ECO:0000255; ATP-PFK; ATP-PFK {ECO:0000255; GSD7; HAMAP-Rule:MF_03184}; PFK; PFK1; PFK-1; Pfk4; Pfk-4; Pfka; PFK-A; PFKM; Pfk-m; PFKX; Phosphofructo-1-kinase isozyme A; phosphofructokinase 1; phosphofructokinase 4; phosphofructokinase M variant 3/4; phosphofructokinase muscle; phosphofructokinase, muscle; phosphofructokinase, polypeptide X; phosphofructokinase-1 A isozyme; phosphofructokinase-A; phosphofructokinase-M; phosphofructokinase-M (connecting peptide); phosphohexokinase; phosphohexokinase {ECO:0000255; PPP1R122; protein phosphatase 1, regulatory subunit 122 |
| Show More |
Product Title
By clicking Submit, you acknowledge that you may be contacted by Fisher Scientific in regards to the feedback you have provided in this form. We will not share your information for any other purposes. All contact information provided shall also be maintained in accordance with our Privacy Policy.
Spot an opportunity for improvement?