missing translation for 'onlineSavingsMsg'
Learn More
Learn More
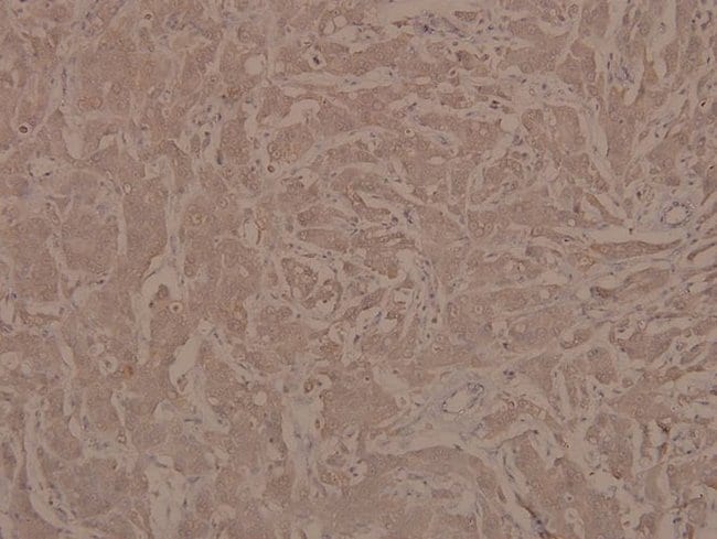
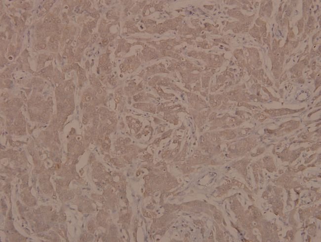
Invitrogen™ Phospho-JAK1 (Tyr1022) Polyclonal Antibody

Description
This antibody detects endogenous protein at a molecular weight of 132 kDa. Purity is >95% by SDS-PAGE.
Janus kinase 1 (JAK1), is a protein tyrosine kinase that is involved in the interferon-alpha/beta and -gamma signal transduction pathways. Immunological stimuli, such as interferons and cytokines, induce recruitment of Stat transcription factors to cytokine receptor-associated JAK1. JAK1 then phosphorylates proximal Stat factors, which subsequently dimerize, translocate to the nucleus and bind to cis elements upstream of target gene promoters to regulate transcription. Upon ligand binding, JAK1 undergoes tyrosine phosphorylation and catalytic activation in an interdependent manner. Phosphorylation of tyrosine residues at positions 1022 and 1023 is believed to function in the activation of catalytic events.
Specifications
Specifications
| Antigen | Phospho-JAK1 (Tyr1022) |
| Applications | Immunohistochemistry (Paraffin), Western Blot |
| Classification | Polyclonal |
| Concentration | 1 mg/mL |
| Conjugate | Unconjugated |
| Formulation | PBS with 50% glycerol and 0.02% sodium azide; pH 7.2 |
| Gene | JAK1 |
| Gene Accession No. | P23458, P52332 |
| Gene Alias | AA960307; BAP004; C130039L05Rik; EC 2.7.10.2; Jak1; JAK-1; JAK1A; JAK1B; Janus kinase 1; Janus protein tyrosine kinase 1; JTK3; kinase Jak1; Tyrosine-protein kinase JAK1 |
| Gene Symbols | JAK1 |
| Show More |
Product Title
By clicking Submit, you acknowledge that you may be contacted by Fisher Scientific in regards to the feedback you have provided in this form. We will not share your information for any other purposes. All contact information provided shall also be maintained in accordance with our Privacy Policy.
Spot an opportunity for improvement?