missing translation for 'onlineSavingsMsg'
Learn More

ELK1 (phospho S389), Rabbit anti-Human, Mouse, Rat, Polyclonal Antibody, Abnova™

Product Code. 16025487
Change view
Click to view available options
Quantity:
100 μg
Unit Size:
100µg
1 product options available for selection
Product selection table with 1 available options. Use arrow keys to navigate and Enter or Space to select.
Product Code. Quantity unitSize
16025487 100 μg 100µg
Use arrow keys to navigate between rows. Press Enter or Space to select a product option. 1 options available.
1 options
This item is not returnable. View return policy
Product Code. 16025487 Supplier Abnova Supplier No. PAB25258.100ug

Please to purchase this item. Need a web account? Register with us today!

This item is not returnable. View return policy

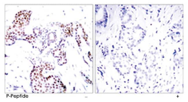
Rabbit polyclonal antibody raised against synthetic phosphopeptide of ELK1.

This gene is a member of the Ets family of transcription factors and of the ternary complex factor (TCF) subfamily. Proteins of the TCF subfamily form a ternary complex by binding to the the serum response factor and the serum reponse element in the promoter of the c-fos proto-oncogene. The protein encoded by this gene is a nuclear target for the ras-raf-MAPK signaling cascade. Alternatively spliced transcript variants encoding the same protein have been found for this gene. [provided by RefSeq

Sequence: P-R-Sp-P-A

Specifications

Antigen ELK1
Applications Immunohistochemistry (PFA fixed)
Classification Polyclonal
Concentration 1 mg/mL
Conjugate Unconjugated
Description Rabbit polyclonal antibody raised against synthetic phosphopeptide of ELK1.
Dilution Immunohistochemistry (1:50-1:100) The optimal working dilution should be determined by the end user.
Formulation In PBS (without mg2+ and Ca2+), 150mM NaCl, pH 7.4 (50% glycerol, 0.02% sodium azide)
Gene ELK1
Gene Accession No. P19419
Gene Symbols ELK1
Host Species Rabbit
Immunogen Synthetic phosphopeptide corresponding to residues surrounding S389 of human ELK1.
Purification Method Affinity chromatography
Quantity 100 μg
Regulatory Status RUO
Primary or Secondary Primary
Gene ID (Entrez) 2002
Target Species Human, Mouse, Rat
Content And Storage Store at -20°C.
Aliquot to avoid repeated freezing and thawing.
Form Liquid
Show More Show Less

For Research Use Only

Product Title
Select an issue

By clicking Submit, you acknowledge that you may be contacted by Fisher Scientific in regards to the feedback you have provided in this form. We will not share your information for any other purposes. All contact information provided shall also be maintained in accordance with our Privacy Policy.