missing translation for 'onlineSavingsMsg'
Learn More
Learn More
Description
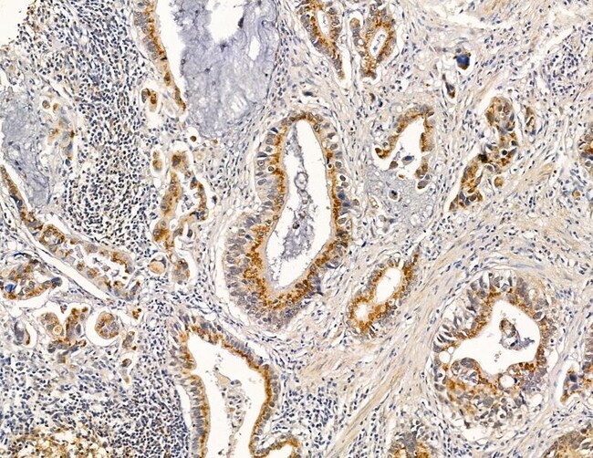
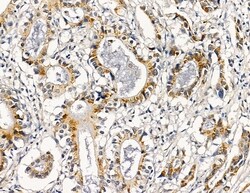
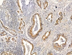
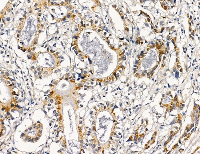
Antibody detects endogenous levels of total RRAS2.
RRAS2 is involved in activating mutations and the overexpression of classical Ras subfamily members (K-RAS, N-RAS and H-RAS) have been widely investigated as key events in the development of human cancers. The RRAS subfamily of Ras-related proteins includes RRAS1, RRAS2 (TC21) and RRAS3 (M-Ras) show overall amino acid identity with the classical Ras subfamily (H-Ras, K-Ras and N-Ras) of 55-60%. RRAS2 is a small GTP binding protein of the Ras superfamily of GTPases. It might transduce growth inhibitory signals across the cell membrane, exerting its effect through an effector shared with the Ras proteins. RRAS2 has high oncogenic potential and overexpression/mutations have been reported in several tumor tissues and cell lines.
Specifications
Specifications
| Antigen | RRAS2 |
| Applications | Immunohistochemistry (Paraffin), Western Blot |
| Classification | Polyclonal |
| Concentration | 1 mg/mL |
| Conjugate | Unconjugated |
| Formulation | PBS with 50% glycerol and 0.02% sodium azide; pH 7.4 |
| Gene | RRAS2 |
| Gene Accession No. | P62070, P62071 |
| Gene Alias | 2610016H24Rik; C86394; Ras-like protein TC21; ras-related protein R-Ras2; related RAS viral (r-ras) oncogene homolog 2; Rras2; TC21; Teratocarcinoma oncogene |
| Gene Symbols | RRAS2 |
| Show More |
Product Title
By clicking Submit, you acknowledge that you may be contacted by Fisher Scientific in regards to the feedback you have provided in this form. We will not share your information for any other purposes. All contact information provided shall also be maintained in accordance with our Privacy Policy.
Spot an opportunity for improvement?
