missing translation for 'onlineSavingsMsg'
Learn More
Learn More
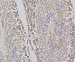
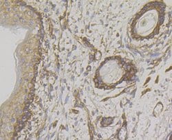
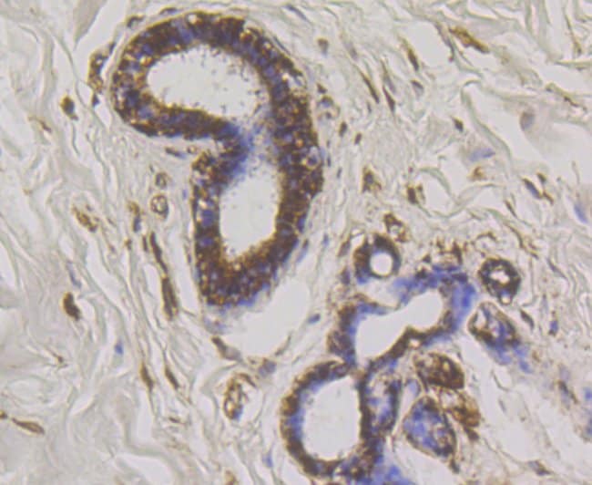
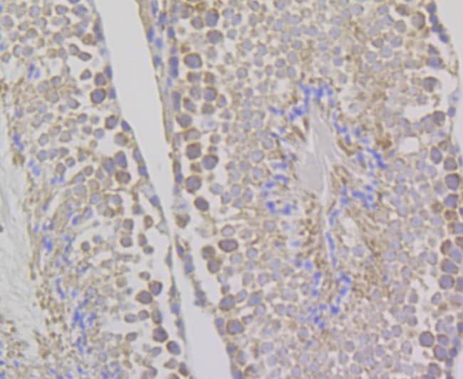
Invitrogen™ WNK1 Recombinant Rabbit Monoclonal Antibody (JG36-91)

Description
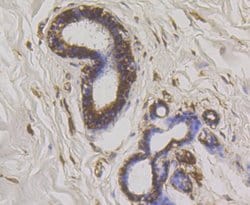
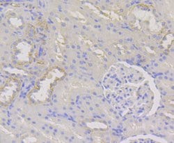
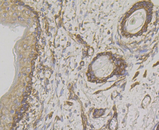
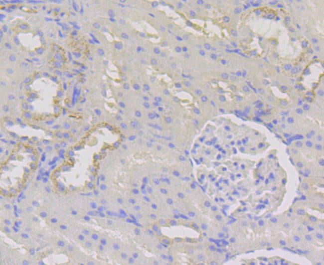
Positive Control: A549, Rat kidney tissue, human skin tissue, human breast cancer tissue, mouse testis tissue.
WNK1 serine/threonine kinase is a member of the WNK subfamily. WNK1 may be a key regulator of blood pressure by controlling the transport of sodium and chloride ions. Mutations in this gene have been associated with pseudohypoaldosteronism type II and hereditary sensory neuropathy type II. WNK plays an important role in the regulation of electrolyte homeostasis, cell signaling, survival, and proliferation. Also, acts as an activator and inhibitor of sodium-coupled chloride cotransporters and potassium-coupled chloride cotransporters respectively. Activates SCNN1A, SCNN1B, SCNN1D, and SGK1. WNK localizes to a segment of kidney involved in salt, potassium, and pH homeostasis, the distal nephron. Mutations in the WNK gene result in Pseudohypaldosteronism and Neuropathy.
Specifications
Specifications
| Antigen | WNK1 |
| Applications | Immunohistochemistry (Paraffin), Western Blot |
| Classification | Recombinant Monoclonal |
| Clone | JG36-91 |
| Concentration | 1 mg/mL |
| Conjugate | Unconjugated |
| Formulation | TBS with 0.05% BSA, 40% glycerol and 0.05% sodium azide; pH 7.4 |
| Gene | WNK1 |
| Gene Accession No. | Q9H4A3 |
| Gene Alias | 6430573H23Rik; EG406236; Erythrocyte 65 kDa protein; HSAN2; HSN2; hWNK1; KDP; KIAA0344; Kinase deficient protein; MGC163339; MGC163341; mKIAA0344; p65; PPP1R167; Prkwnk1; prostate-derived sterile 20-like kinase; protein kinase lysine-deficient 1; Protein kinase with no lysine 1; protein phosphatase 1, regulatory subunit 167; PSK; Serine/threonine-protein kinase WNK1; serine/threonine-protein kinase WNK1 1; serine/threonine-protein kinase WNK1 2; With no K; WNK lysine deficient protein kinase 1; WNK lysine deficient protein kinase 1 isoform; WNK1 |
| Show More |
Product Title
By clicking Submit, you acknowledge that you may be contacted by Fisher Scientific in regards to the feedback you have provided in this form. We will not share your information for any other purposes. All contact information provided shall also be maintained in accordance with our Privacy Policy.
Spot an opportunity for improvement?